プチ矯正治療例20 of 浜松市 矯正審美歯科センター

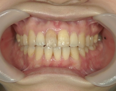
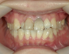
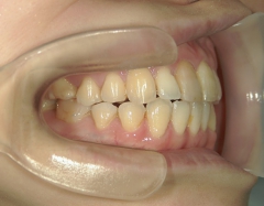
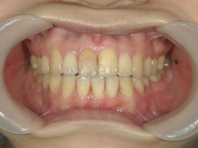
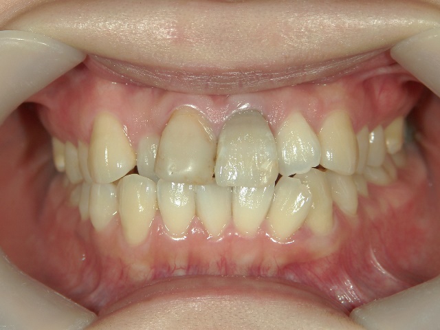
矯正歯科 治療前矯正歯科 治療前

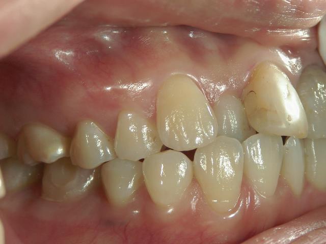
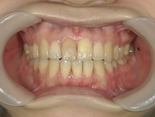
矯正歯科 治療後矯正歯科 プチワイヤー矯正 治療後矯正歯科(プチワイヤー矯正)治療後

プチワイヤー矯正 症例(20

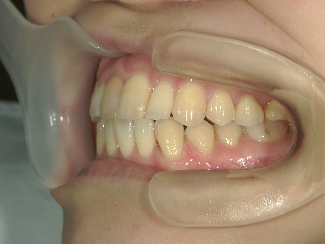
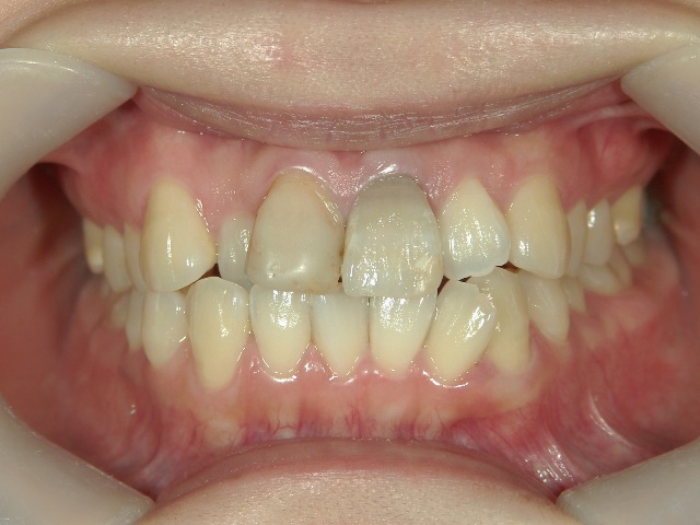
26歳女性 浜松市西区在住
治療期間 1年4カ月

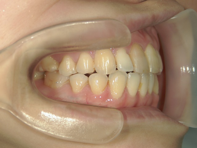
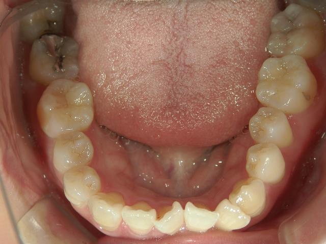
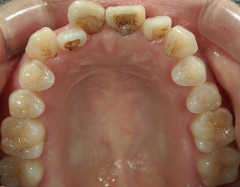
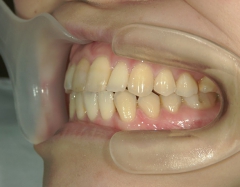
矯正歯科 治療前 アクア/上顎1年4カ月→プチワイヤー矯正/上下顎2年
矯正_灰色.pngno.37_7548_治療前_上.JPG矯正_灰色.png

no.37_7548_治療前_右.JPGno.37_7548_治療前_正面.JPGno.37_7548_治療前_左.JPG

矯正_灰色.pngno.37_7548_治療前_下.JPG矯正_灰色.png

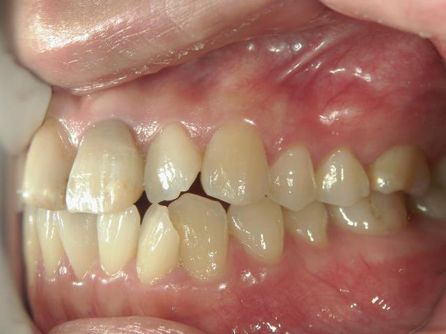
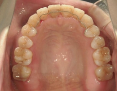
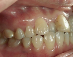
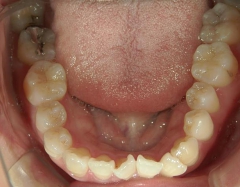
矯正歯科 治療後  スペース確保の為、 2番抜歯
矯正_灰色.pngno.37_7548_治療後_上.JPG矯正_灰色.png

no.37_7548_治療後_右.JPGno.37_7548_治療後_正面.JPGno.37_7548_治療後_左.JPG

矯正_灰色.pngno.37_7548_治療後_下.JPG矯正_灰色.png