プチ矯正治療例3 of 浜松市 矯正審美歯科センター

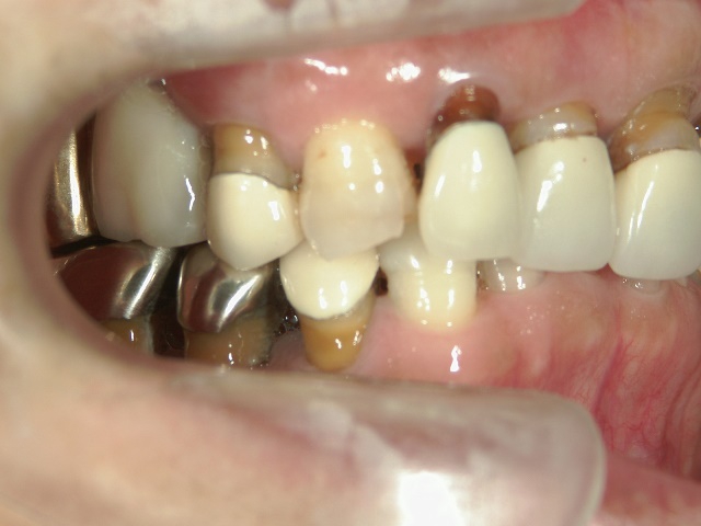
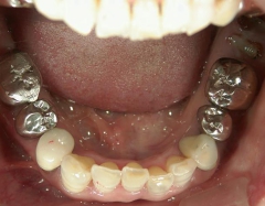
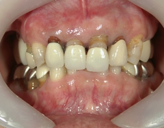
矯正歯科 治療前矯正歯科 治療前

矯正歯科 治療後矯正歯科 プチワイヤー矯正 治療後矯正歯科(プチワイヤー矯正)治療後

プチワイヤー矯正 症例(3)

61歳女性 愛知県新城市在住
治療期間 8カ月

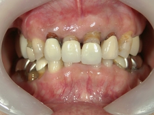
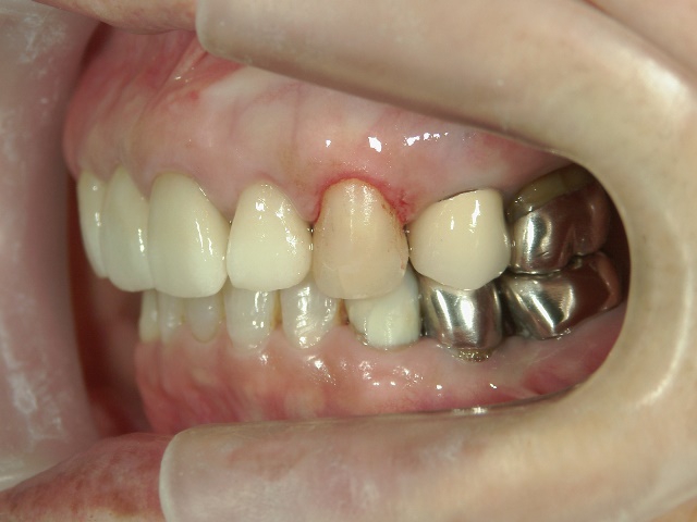
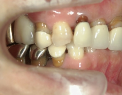
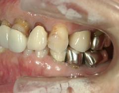
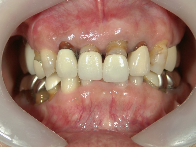
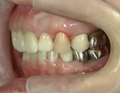
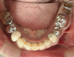
矯正歯科 治療前 
no.23_7097_治療前_右.jpgno.23_7097_治療前_正面.jpgno.23_7097_治療前_左.jpg

矯正_灰色.pngno.23_7097_治療前_下.jpg矯正_灰色.png

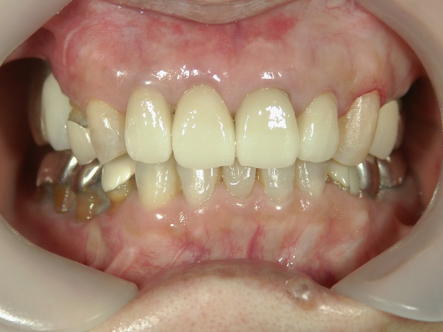
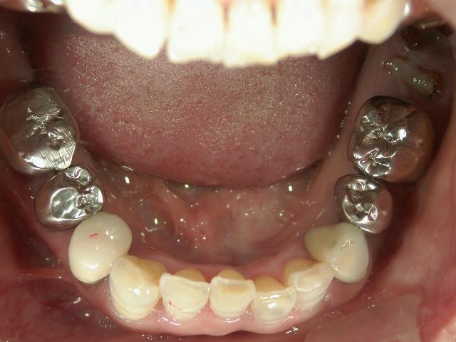
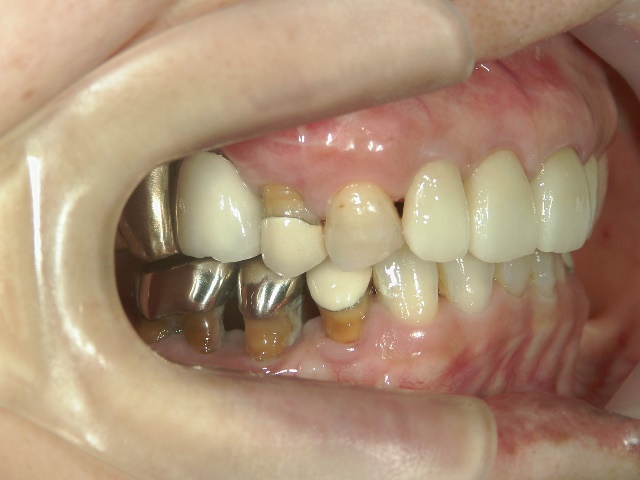
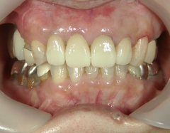
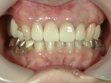
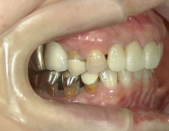
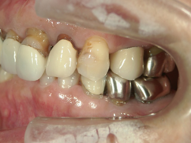
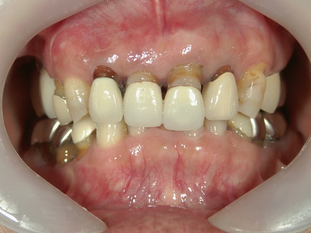
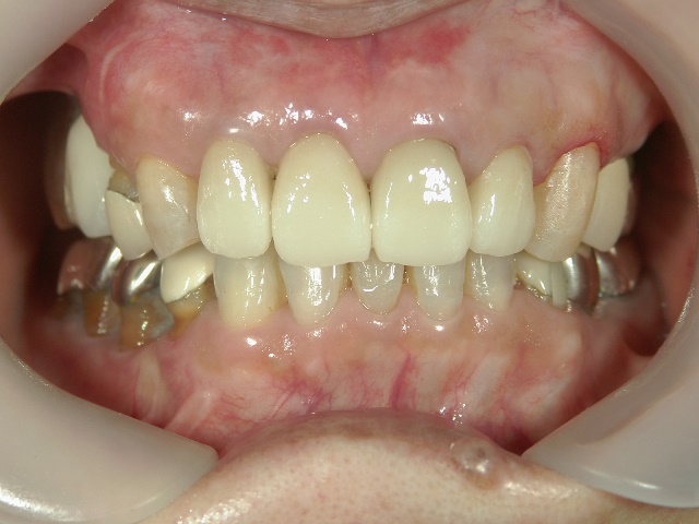
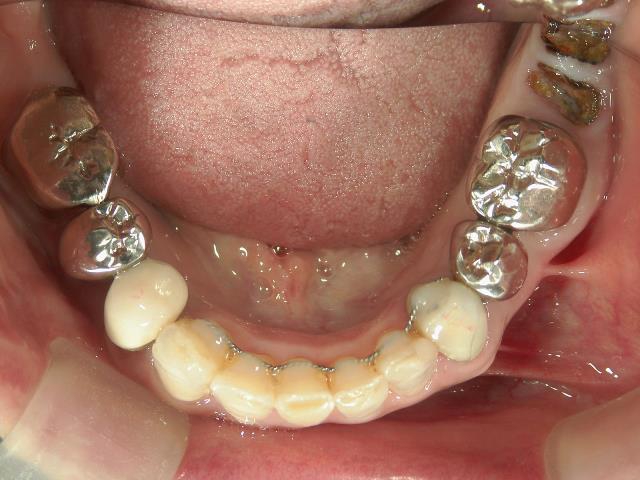
矯正歯科 治療後 
no.23_7097_治療後_右.jpgno.23_7097_治療後_正面.jpgno.23_7097_治療後_左.jpg

矯正_灰色.pngno.23_7097_治療後_下.jpg矯正_灰色.png