プチ矯正治療例21 of 浜松市 矯正審美歯科センター

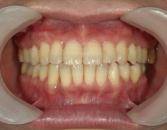
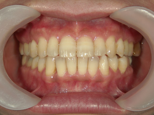
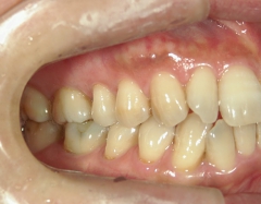
矯正歯科 治療前矯正歯科 治療前

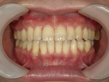
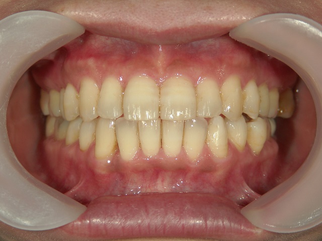
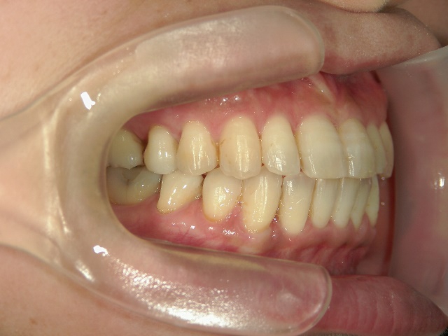
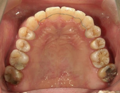
矯正歯科 治療後矯正歯科 プチワイヤー矯正 治療後矯正歯科(プチワイヤー矯正)治療後

プチワイヤー矯正 症例(21

52歳女性 浜松市西区在住
治療期間 2年1カ月

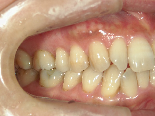
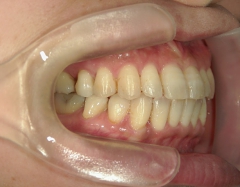
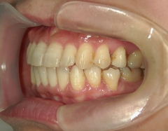
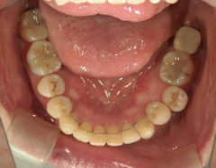
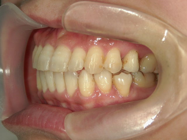
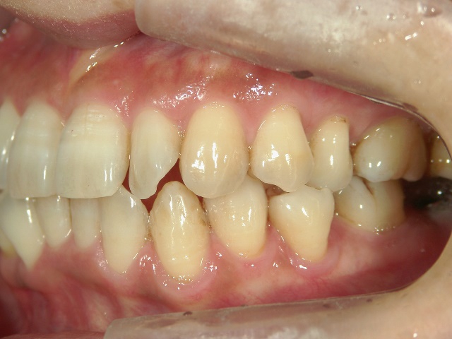
矯正歯科 治療前 
矯正_灰色.pngno.38_8338_治療前_上.JPG矯正_灰色.png

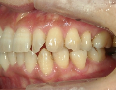
no.38_8338_治療前_右.JPGno.38_8338_治療前_正面.JPGno.38_8338_治療前_左.JPG

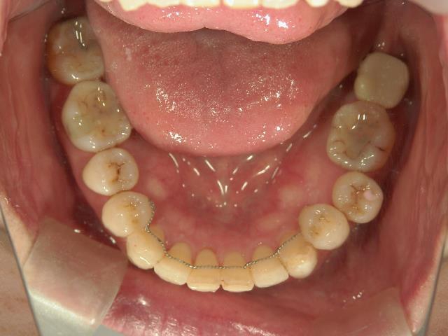
矯正_灰色.pngno.38_8338_治療前_下.JPG矯正_灰色.png

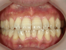
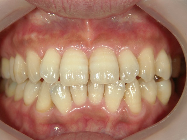
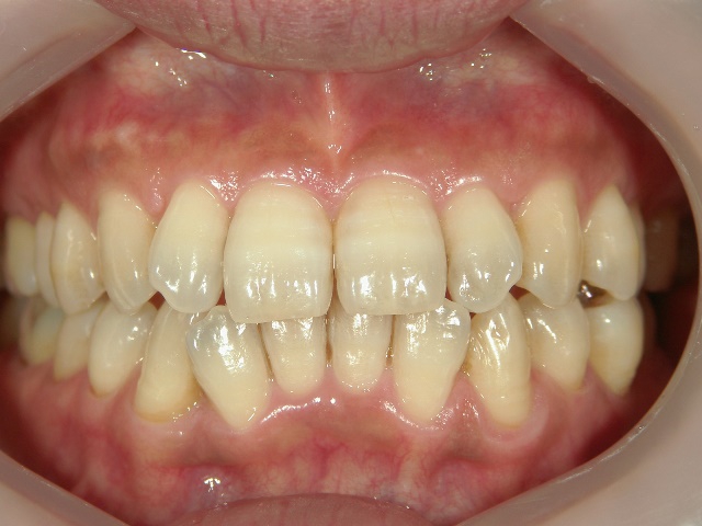
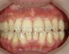
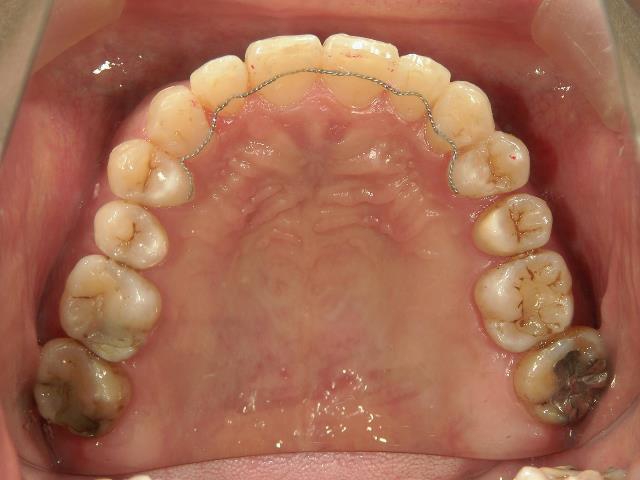
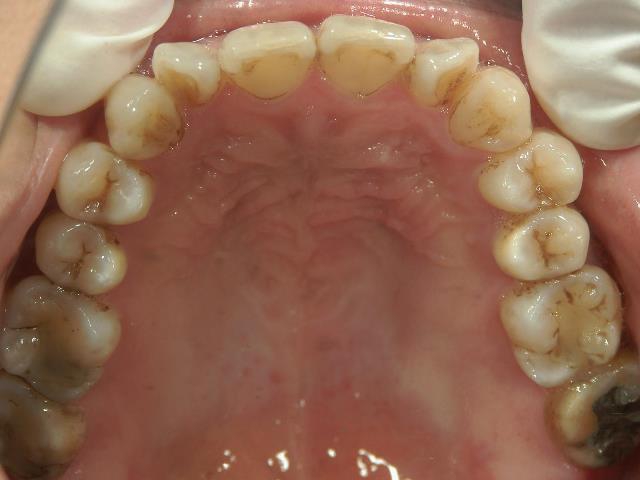
矯正歯科 治療後  
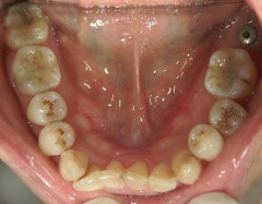
矯正_灰色.pngno.38_8338_治療後_上.JPG矯正_灰色.png

no.38_8338_治療後_右.JPGno.38_8338_治療後_正面.JPGno.38_8338_治療後_左.JPG

矯正_灰色.pngno.38_8338_治療後_下.JPG矯正_灰色.png