プチ矯正治療例22 of 浜松市 矯正審美歯科センター

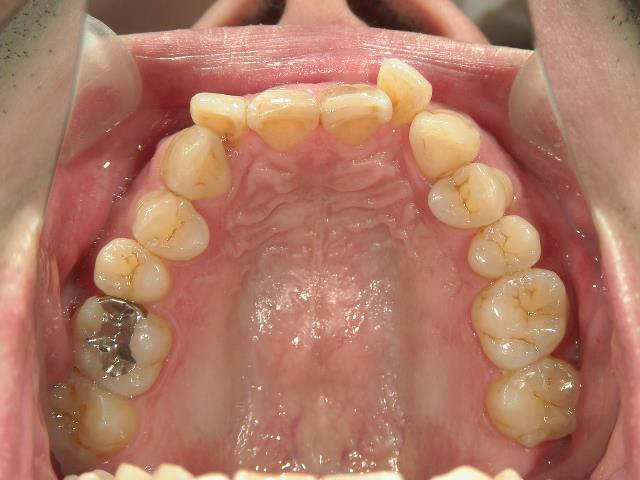
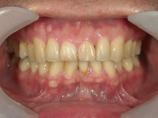
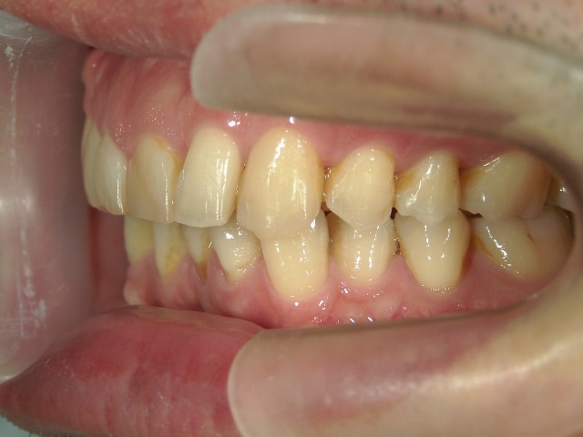
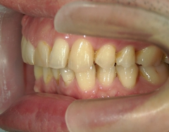
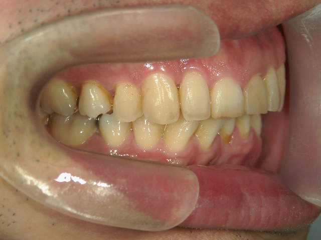
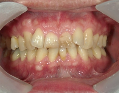
矯正歯科 治療前矯正歯科 治療前

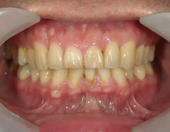
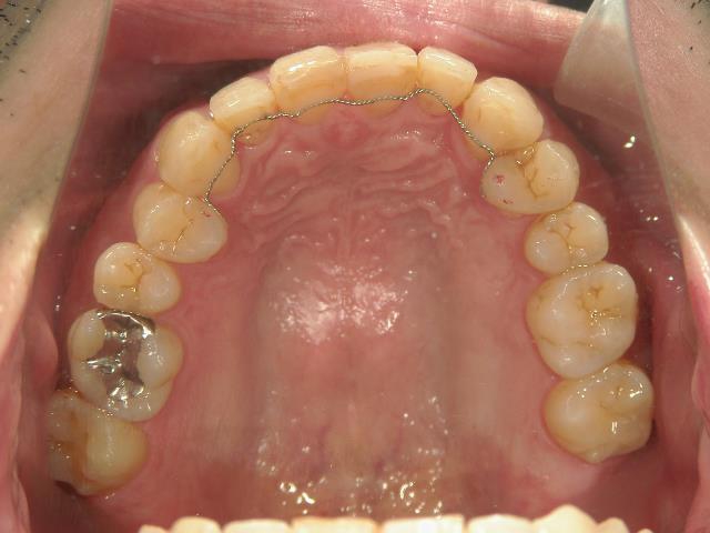
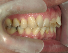
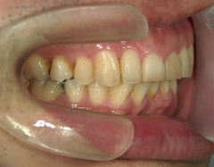
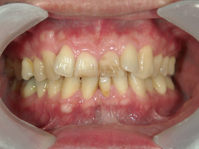
矯正歯科 治療後矯正歯科 プチワイヤー矯正 治療後矯正歯科(プチワイヤー矯正)治療後

プチワイヤー矯正 症例(22)

39歳男性 浜松市東区在住
治療期間 10カ月

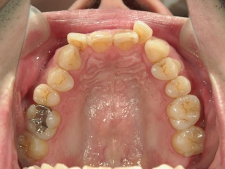
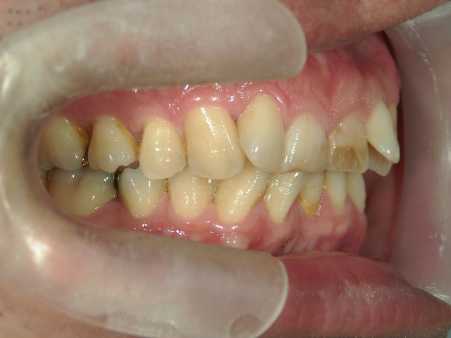
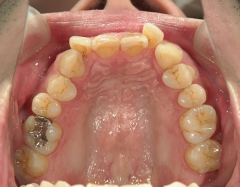
矯正歯科 治療前 
矯正_灰色.pngno.40_9113_治療前_上.JPG矯正_灰色.png

no.40_9113_治療前_右.JPGno.40_9113_治療前_正面.JPGno.40_9113_治療前_左.JPG

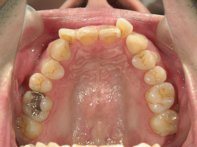
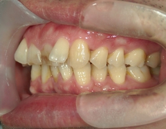
矯正歯科 治療後 
矯正_灰色.pngno.40_9113_治療後_上.JPG矯正_灰色.png

no.40_9113_治療後_右.JPGno.40_9113_治療後_正面.JPGno.40_9113_治療後_左.JPG