プチ矯正治療例23 of 浜松市 矯正審美歯科センター

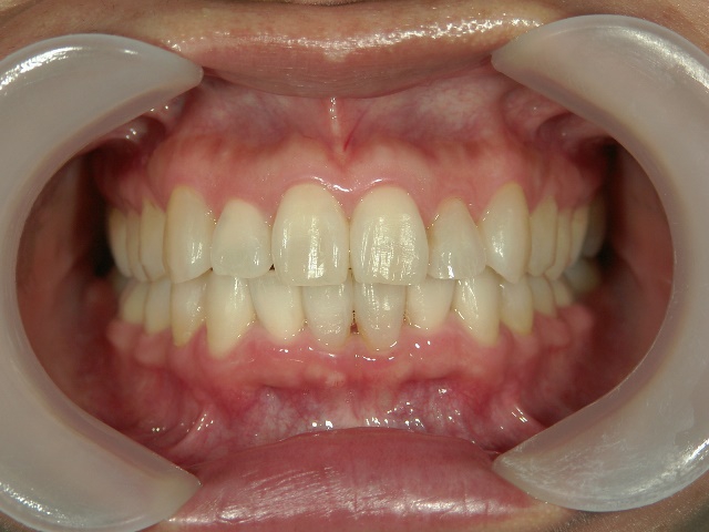
矯正歯科 治療前矯正歯科 治療前

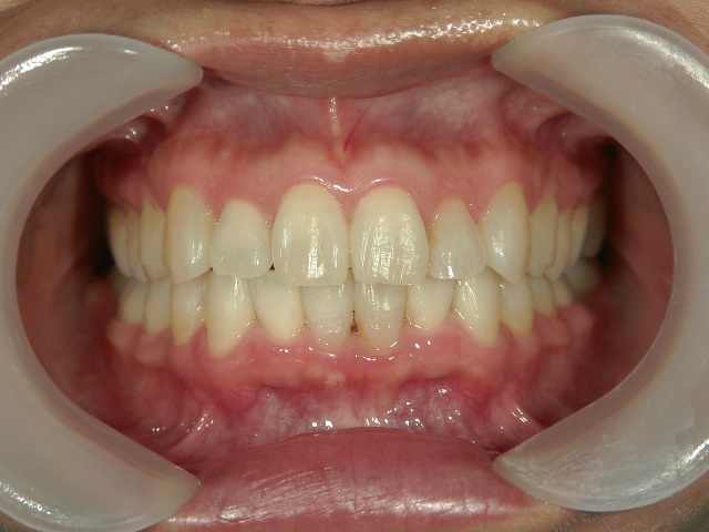
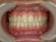
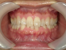
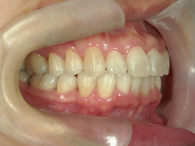
矯正歯科 治療後矯正歯科 プチワイヤー矯正 治療後矯正歯科(プチワイヤー矯正)治療後

プチワイヤー矯正 症例(23

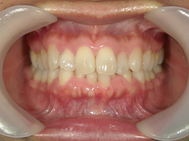
41歳女性 浜松市浜北区在住
治療期間 1年3カ月
主訴:下の前歯の歯並びが乱れていて、舌に当たって痛い。                                    

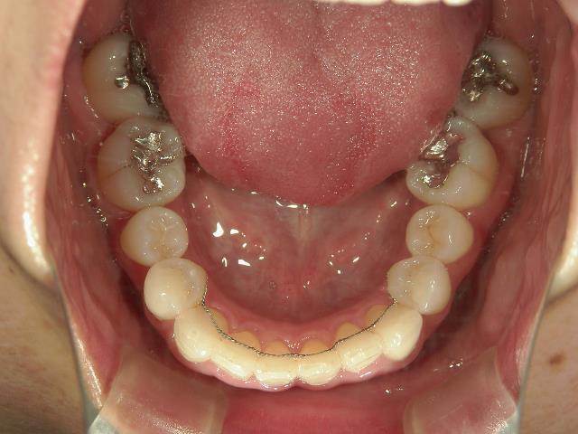
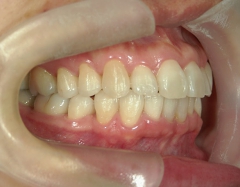
矯正歯科 治療前
矯正_灰色.pngno.41_ 8994_治療前_上.JPG矯正_灰色.png

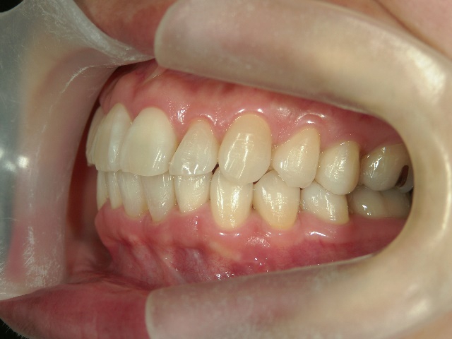
no.41_8994_治療後_右.JPGno.41_8994_治療後_正面.JPGno.41_8994_治療後_左.JPG

矯正_灰色.pngno.41_8994_治療前_下.JPG矯正_灰色.png

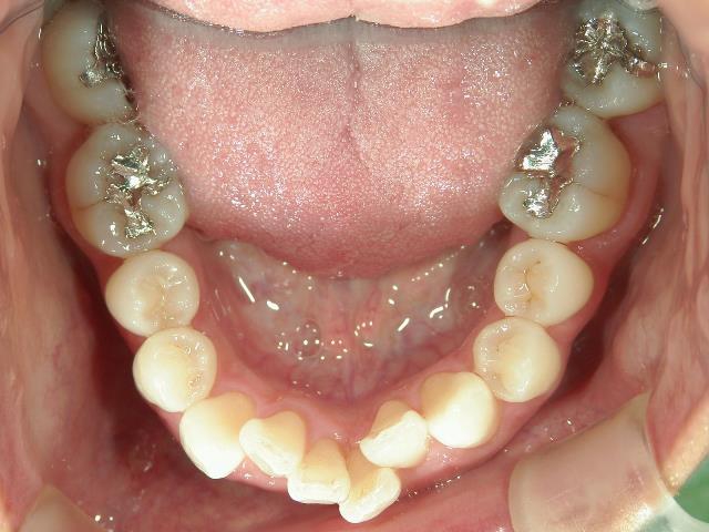
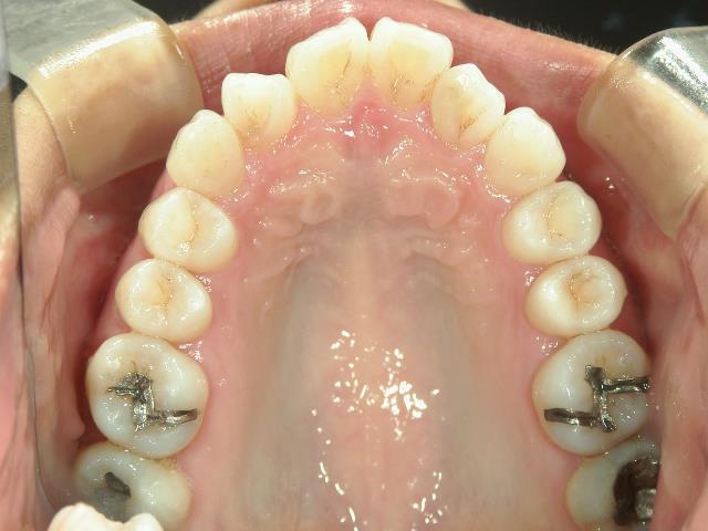
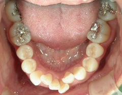
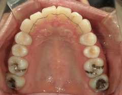
矯正歯科 治療後 ミニインプラントを2本埋入し、下顎前歯を圧下
矯正_灰色.pngno.41_8994_治療後_上.JPG矯正_灰色.png

no.38_8338_治療後_右.JPGno.38_8338_治療後_正面.JPGno.38_8338_治療後_左.JPG

矯正_灰色.pngno.41_8994_治療後_下.JPG矯正_灰色.png