プチ矯正治療例24 of 浜松市 矯正審美歯科センター

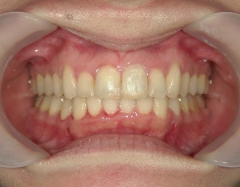
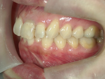
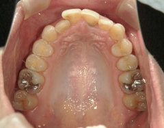
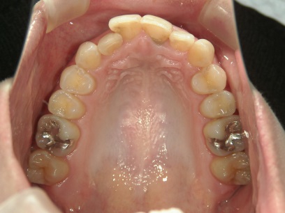
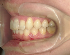
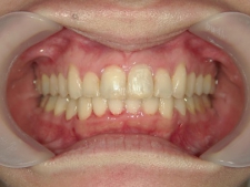
矯正歯科 治療前矯正歯科 治療前

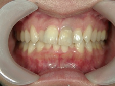
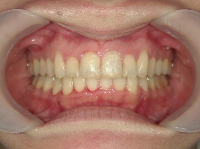
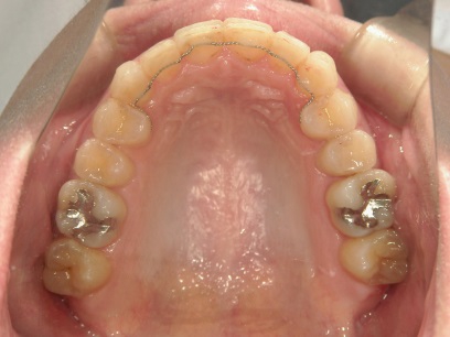
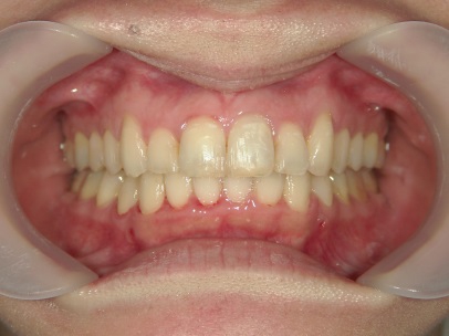
矯正歯科 治療後矯正歯科 プチワイヤー矯正 治療後矯正歯科(プチワイヤー矯正)治療後

プチワイヤー矯正 症例(24

28歳女性 浜松市中区在住
治療期間 1年
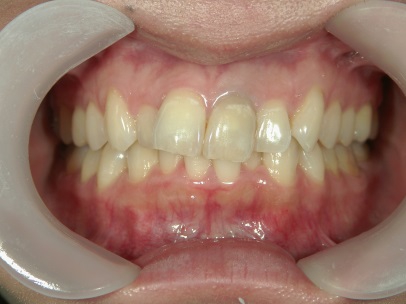
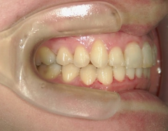
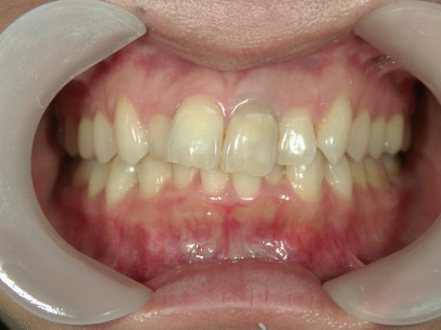
主訴:上の前歯が右に傾斜している。下顎の前歯も乱れているのが気になる。

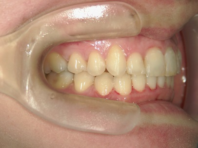
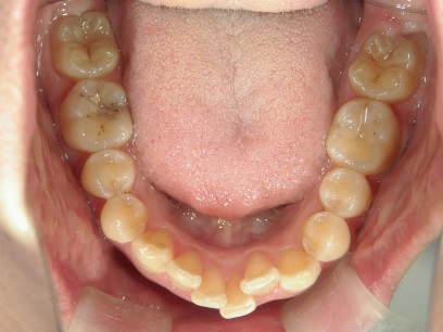
矯正歯科 治療前
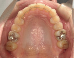
矯正_灰色.pngP052_9190_治療前_上.jpg矯正_灰色.png

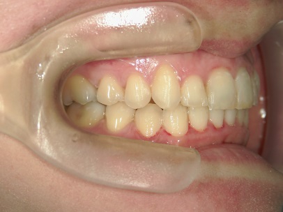
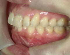
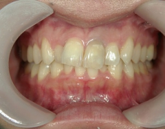
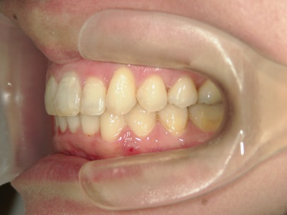
p052_9190_治療前_右.jpgp052_9190_治療前_正面.jpgp052_9190_治療前_左.jpg

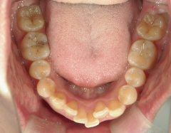
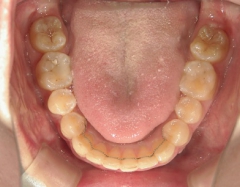
矯正_灰色.pngp052_9190_治療前_下.jpg矯正_灰色.png

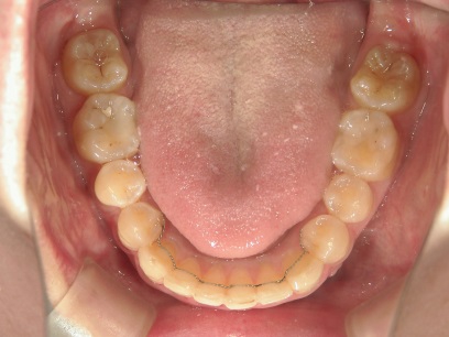
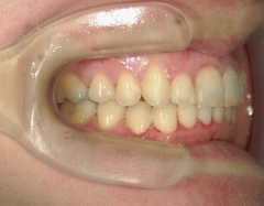
矯正歯科 治療後 ミニインプラント2本埋入し、下顎前歯を圧下、 1番漂白
矯正_灰色.pngP052_9190_治療後_上.jpg矯正_灰色.png

p052_9190_治療後_右.jpgp052_9190_治療後_正面.jpgp052_9190_治療後_左.jpg

矯正_灰色.pngp052_9190_治療後_下.jpg矯正_灰色.png