プチ矯正治療例25 of 浜松市 矯正審美歯科センター

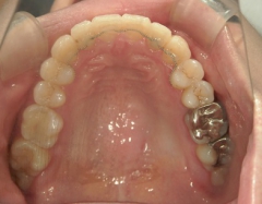
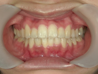
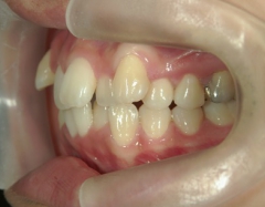
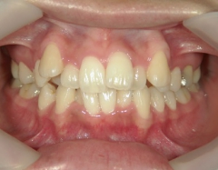
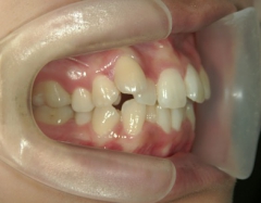
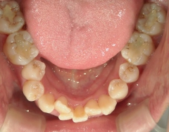
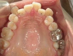
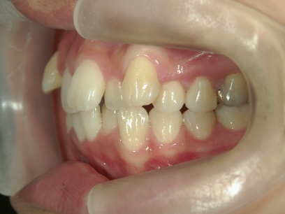
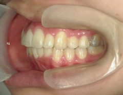
矯正歯科 治療前矯正歯科 治療前

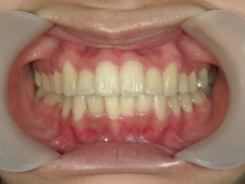
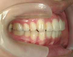
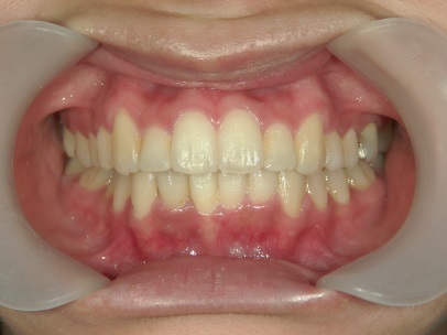
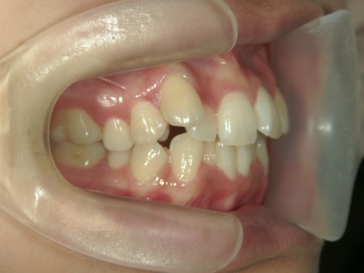
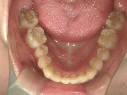
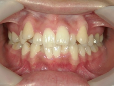
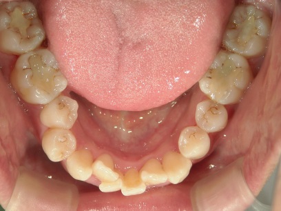
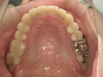
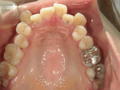
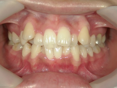
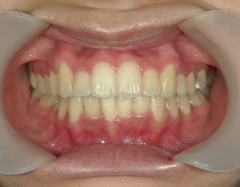
矯正歯科 治療後矯正歯科 プチワイヤー矯正 治療後矯正歯科(プチワイヤー矯正)治療後

プチワイヤー矯正 症例(25

24歳女性 浜松市中区在住
治療期間 11ヶ月
主訴:上下の前歯がガタガタしている 。

矯正歯科 治療前
矯正_灰色.pngp053_9185_治療前_上.jpg矯正_灰色.png

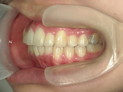
p053_9185_治療前_右.jpgp053_9185_治療前_正面.jpgp053_9185_治療前_左.jpg

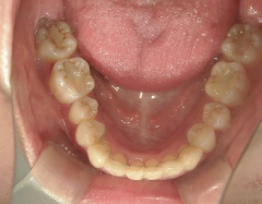
矯正_灰色.pngp053_9185_治療前_下.jpg矯正_灰色.png

矯正歯科 治療後 
矯正_灰色.pngp053_9185_治療後_上.jpg矯正_灰色.png

p053_9185_治療後_右.jpgp053_9185_治療後_正面.jpgp053_9185_治療後_左.jpg

矯正_灰色.pngp053_9185_治療後_下.jpg矯正_灰色.png