プチ矯正治療例4 of 浜松市 矯正審美歯科センター

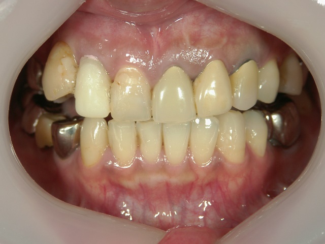
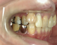
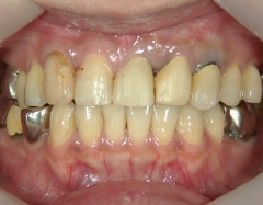
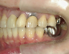
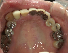
矯正歯科 治療前矯正歯科 治療前

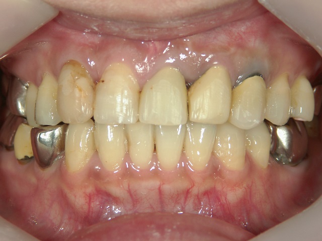
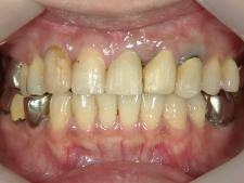
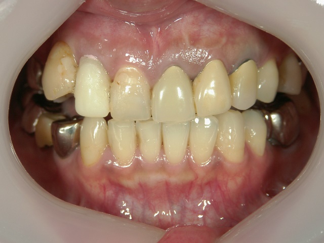
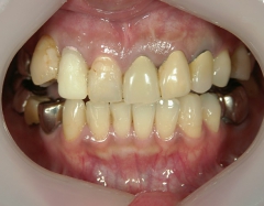
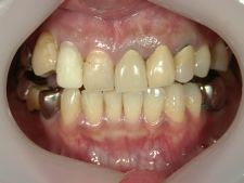
矯正歯科 治療後矯正歯科 プチワイヤー矯正 治療後矯正歯科(プチワイヤー矯正)治療後

プチワイヤー矯正 症例(4)

44歳女性 浜松市中区在住
治療期間 1年3カ月

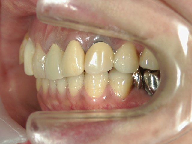
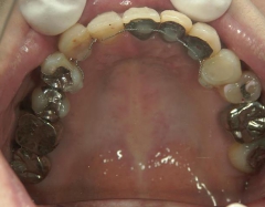
矯正歯科 治療前 
矯正_灰色.pngno.9_7114_治療前_上.jpg矯正_灰色.png

no.9_7114_治療前_左.jpgno.9_7114_治療前_正面.jpgno.9_7114_治療前_右.jpg

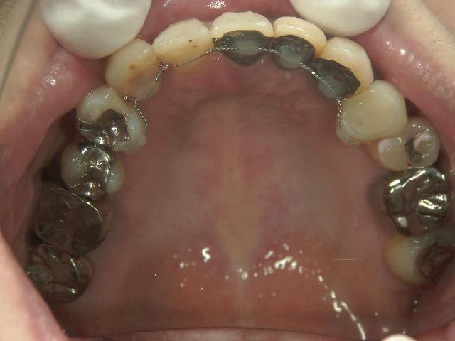
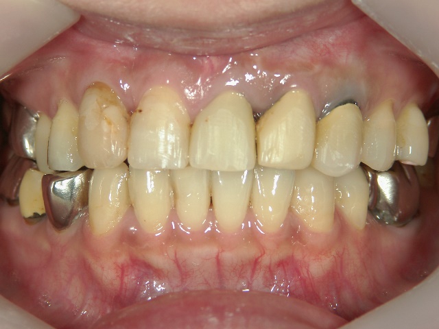
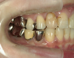
矯正歯科 治療後 
矯正_灰色.pngno.9_7114_治療後_上.jpg矯正_灰色.png

no.9_7114_治療後_左.jpgno.9_7114_治療後_正面.jpgno.9_7114_治療後_右.jpg