プチ矯正治療例5 of 浜松市 矯正審美歯科センター

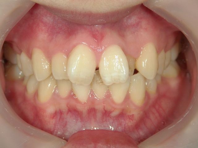
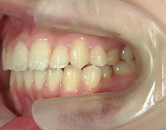
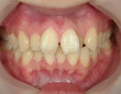
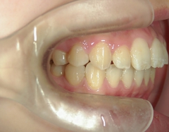
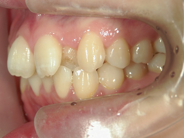
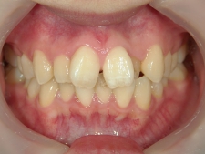
矯正歯科 治療前矯正歯科 治療前

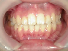
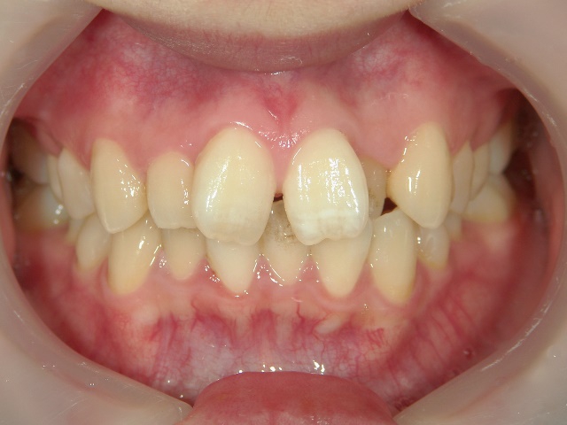
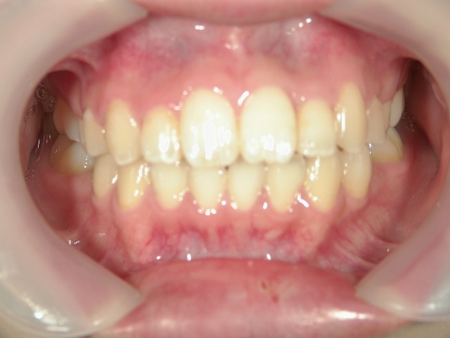
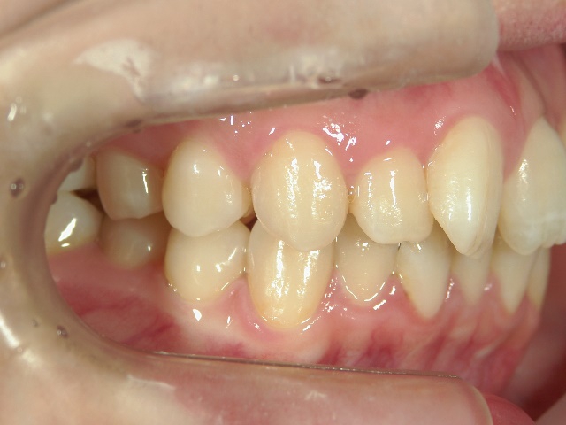
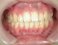
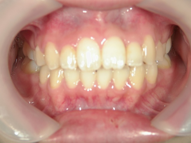
矯正歯科 治療後矯正歯科 プチワイヤー矯正 治療後矯正歯科(プチワイヤー矯正)治療後

プチワイヤー矯正 症例(5)

21歳女性 浜松市北区在住
治療期間 8カ月

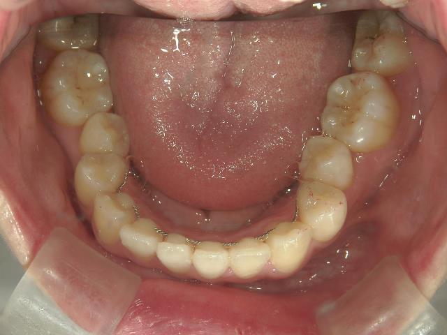
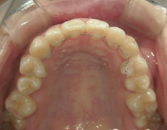
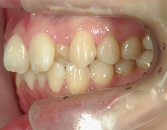
矯正歯科 治療前 
矯正_灰色.pngno.8_8495_治療前_上.jpg矯正_灰色.png

no.8_8495_治療前_左.jpgno.8_8495_治療前_正面.jpgno.8_8495_治療前_右.jpg

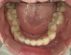
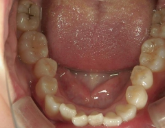
矯正_灰色.pngno.8_8495_治療前_下.jpg矯正_灰色.png

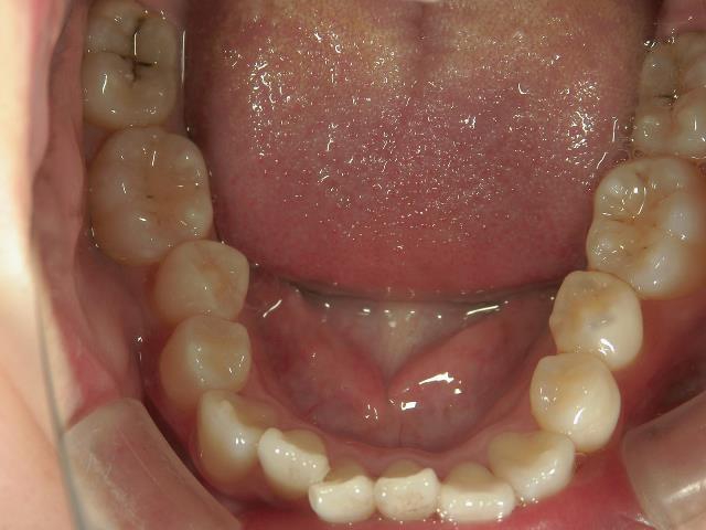
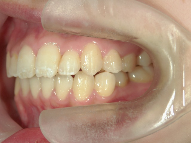
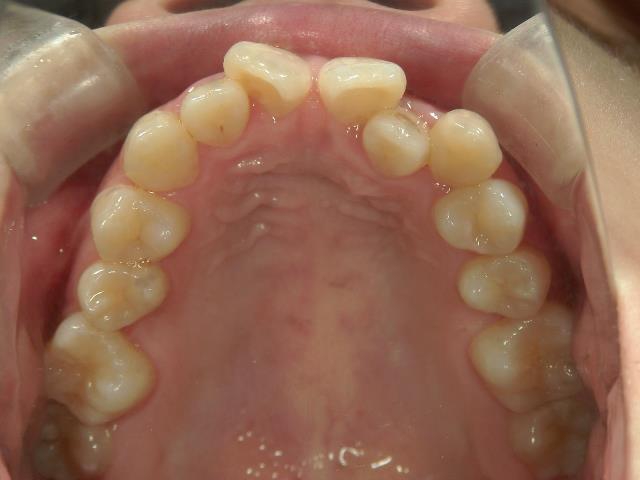
矯正歯科 治療後 
矯正_灰色.pngno.8_8495_治療後_上.jpg矯正_灰色.png

no.8_8495_治療後_左.jpgno.8_8495_治療後_正面.jpgno.8_8495_治療後_右.jpg

矯正_灰色.pngno.8_8495_治療後_下.jpg矯正_灰色.png