プチ矯正治療例6 of 浜松市 矯正審美歯科センター

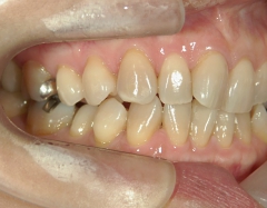
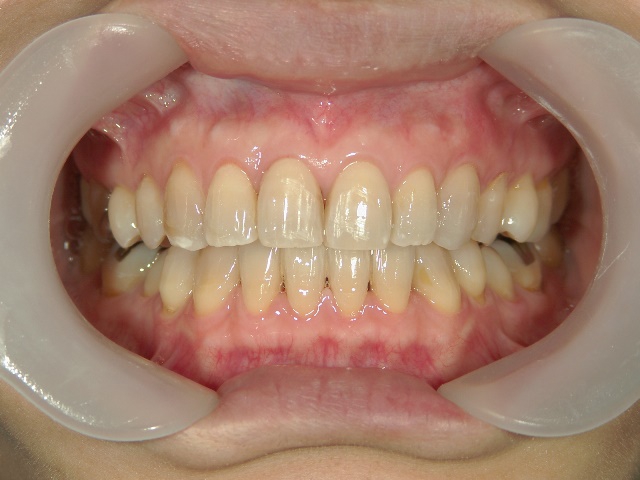
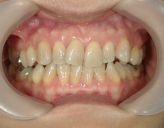
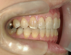
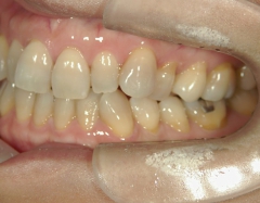
矯正歯科 治療前矯正歯科 治療前

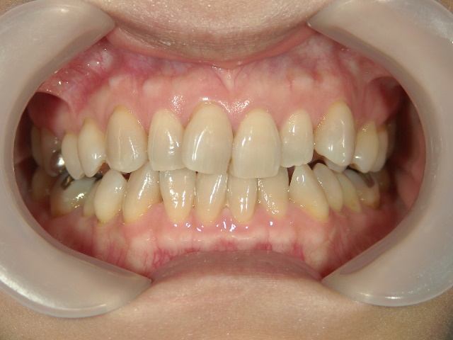
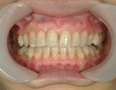
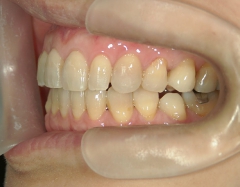
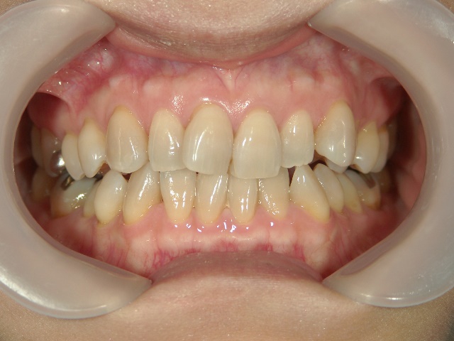
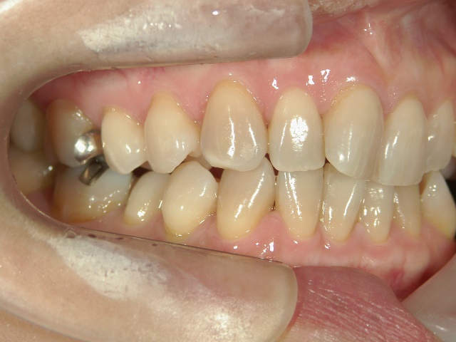
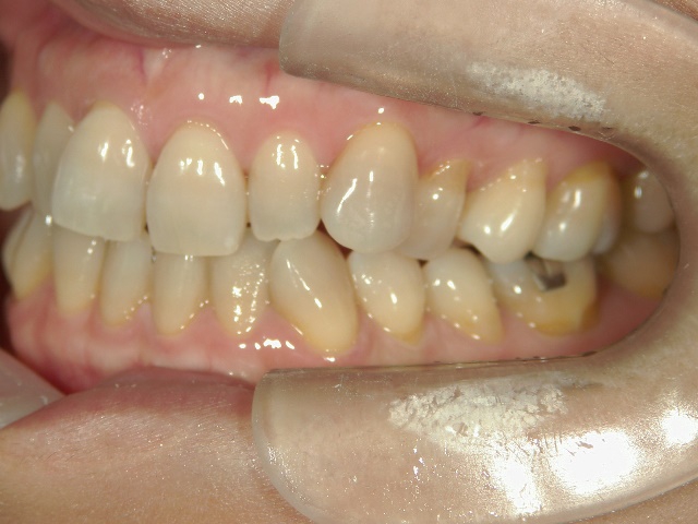
矯正歯科 治療後矯正歯科 プチワイヤー矯正 治療後矯正歯科(プチワイヤー矯正)治療後

プチワイヤー矯正 症例(6)

31歳女性 磐田市在住
治療期間 8カ月

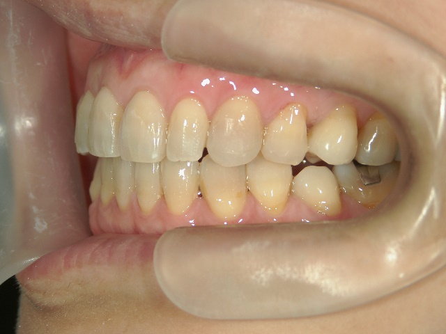
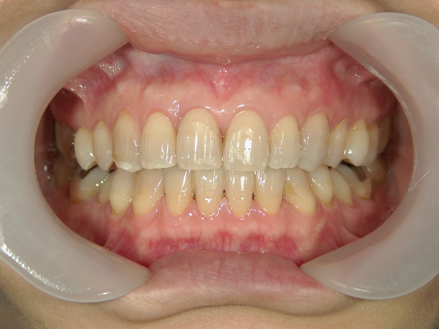
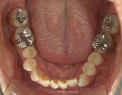
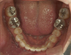
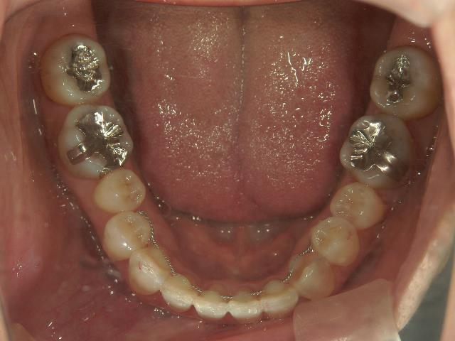
矯正歯科 治療前 
no.17_8611_治療前_右.jpgno.17_8611_治療前_正面.jpgno.17_8611_治療前_左.jpg

矯正_灰色.pngno.17_8611_治療前_下.jpg矯正_灰色.png

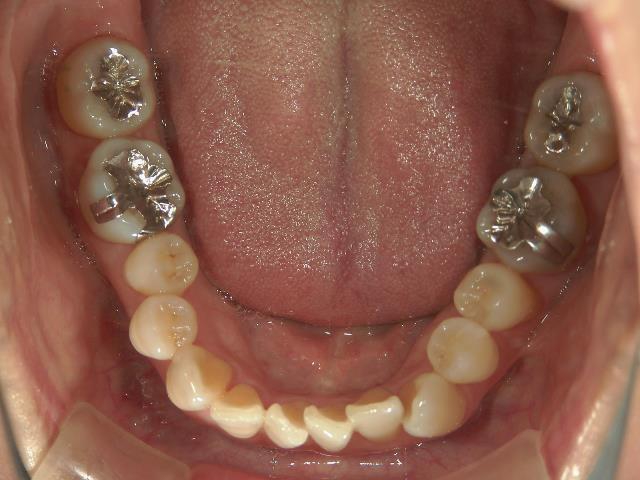
矯正歯科 治療後 
no.17_8611_治療後_右.jpgno.17_8611_治療後_正面.jpgno.17_8611_治療後_左.jpg

矯正_灰色.pngno.17_8611_治療後_下.jpg矯正_灰色.png