プチ矯正治療例7 of 浜松市 矯正審美歯科センター

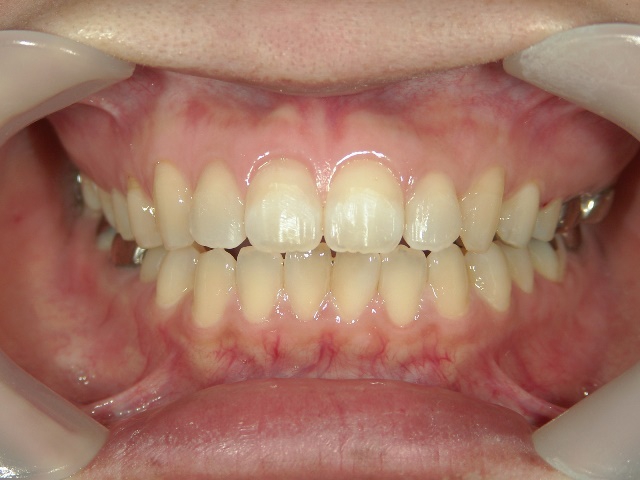
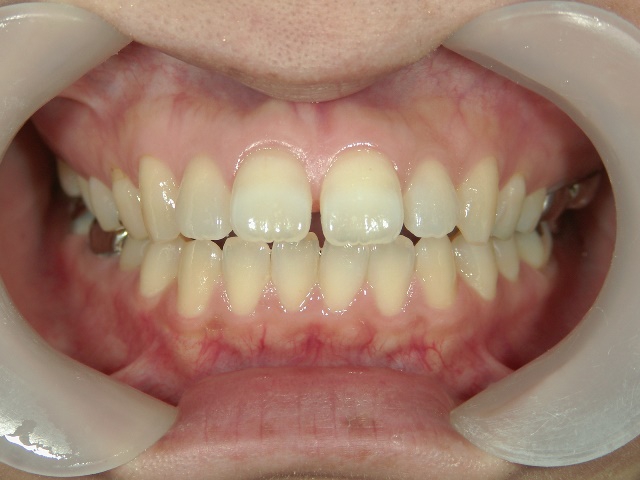
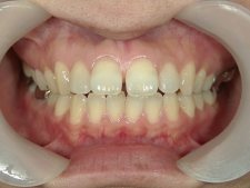
矯正歯科 治療前矯正歯科 治療前

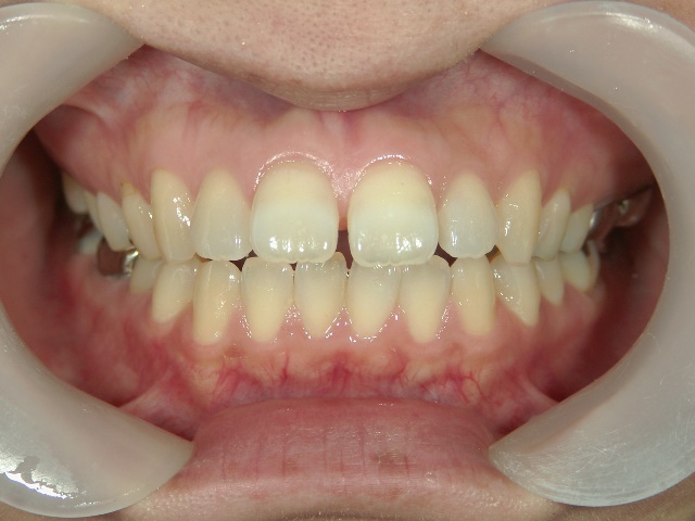
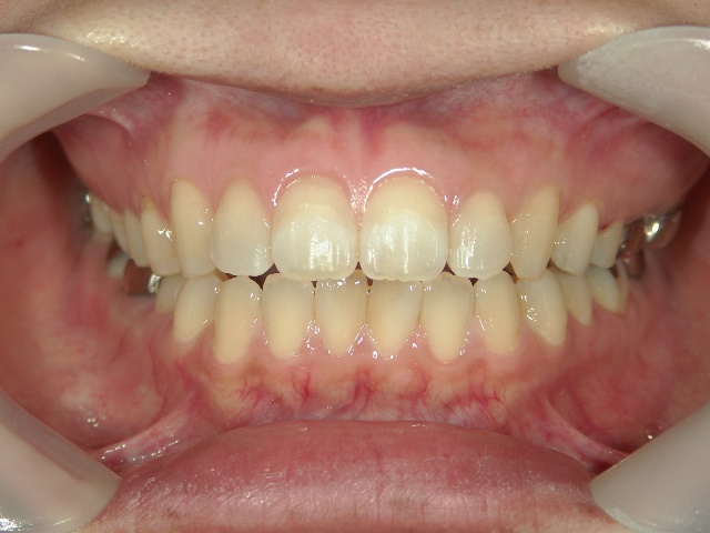
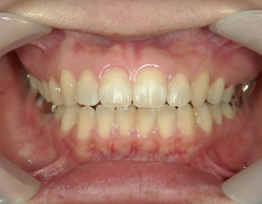
矯正歯科 治療後矯正歯科 プチワイヤー矯正 治療後矯正歯科(プチワイヤー矯正)治療後

プチワイヤー矯正 症例(7)

37歳女性 浜松市西区在住
治療期間 8カ月

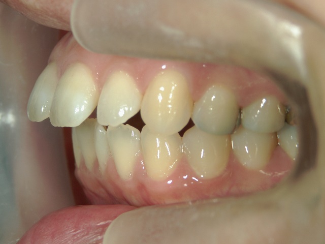
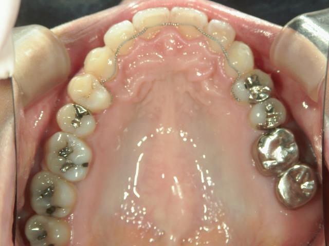
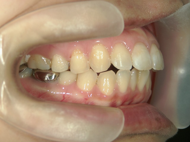
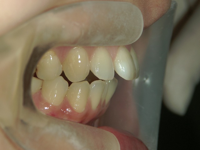
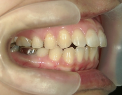
矯正歯科 治療前 
矯正_灰色.pngno.18_8763_治療前_上.jpg矯正_灰色.png

no.18_8763_治療前_右.jpgno.18_8763_治療前_正面.jpgno.18_8763_治療前_左.jpg

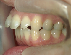
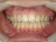
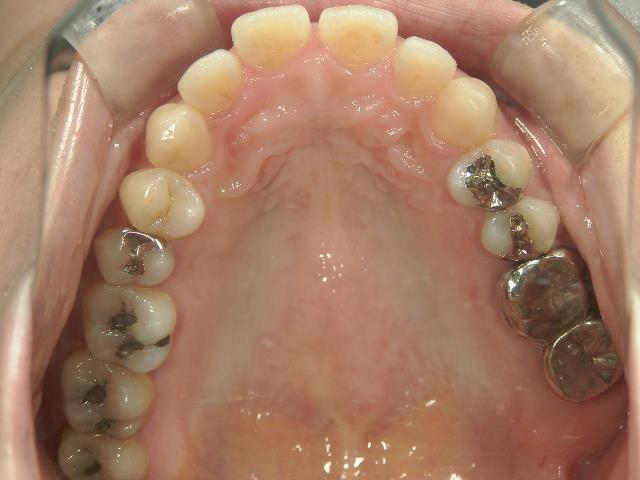
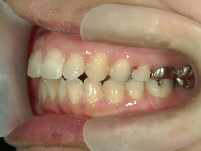
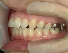
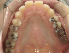
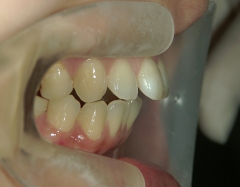
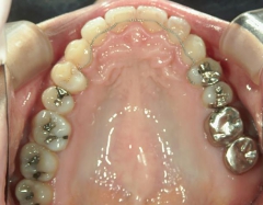
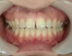
矯正歯科 治療後 
矯正_灰色.pngno.18_8763_治療後_上.jpg矯正_灰色.png

no.18_8763_治療後_右.jpgno.18_8763_治療後_正面.jpgno.18_8763_治療後_左.jpg