プチ矯正治療例8 of 浜松市 矯正審美歯科センター

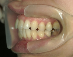
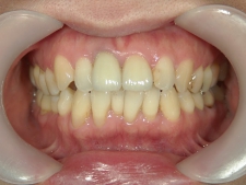
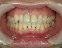
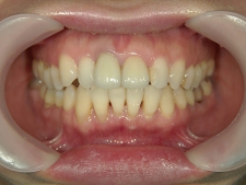
矯正歯科 治療前矯正歯科 治療前

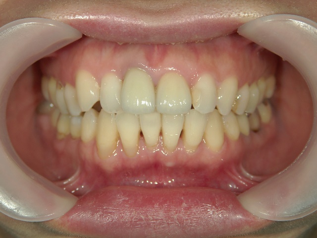
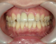
矯正歯科 治療後矯正歯科 プチワイヤー矯正 治療後矯正歯科(プチワイヤー矯正)治療後

プチワイヤー矯正 症例(8)

44歳女性 浜松市中区在住
治療期間 9カ月

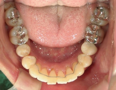
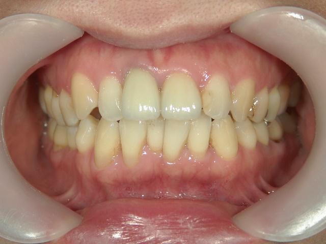
矯正歯科 治療前 
no.19_8860_治療前_右.jpgno.19_8860_治療前_正面.jpgno.19_8860_治療前_左.jpg

矯正_灰色.pngno.19_8860_治療前_下.jpg矯正_灰色.png

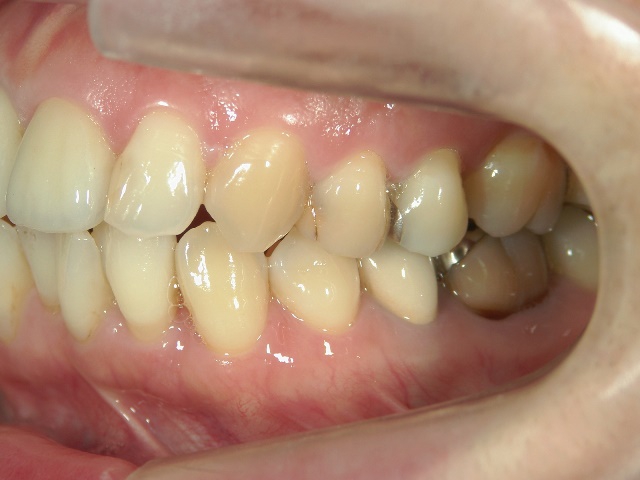
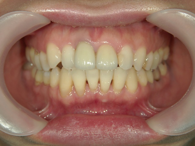
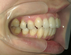
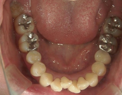
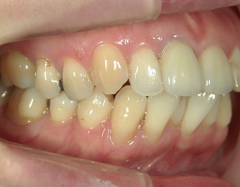
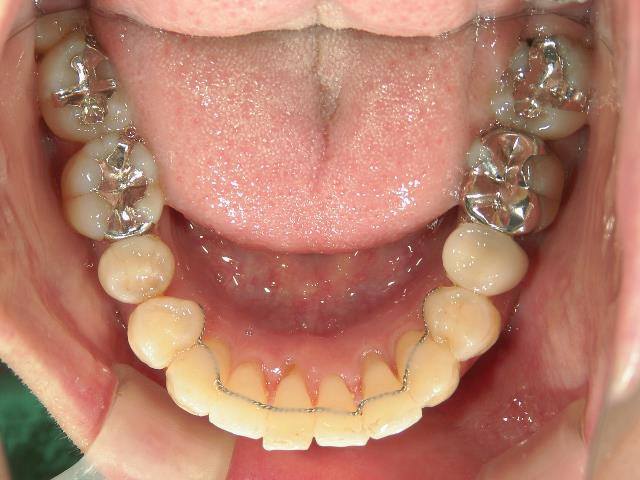
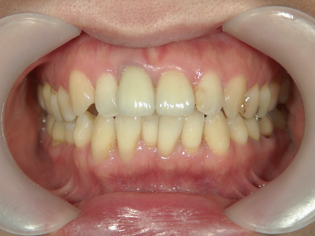
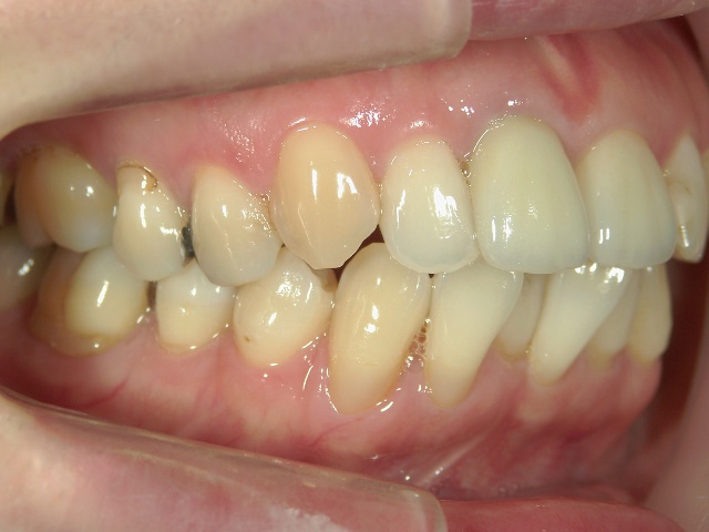
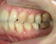
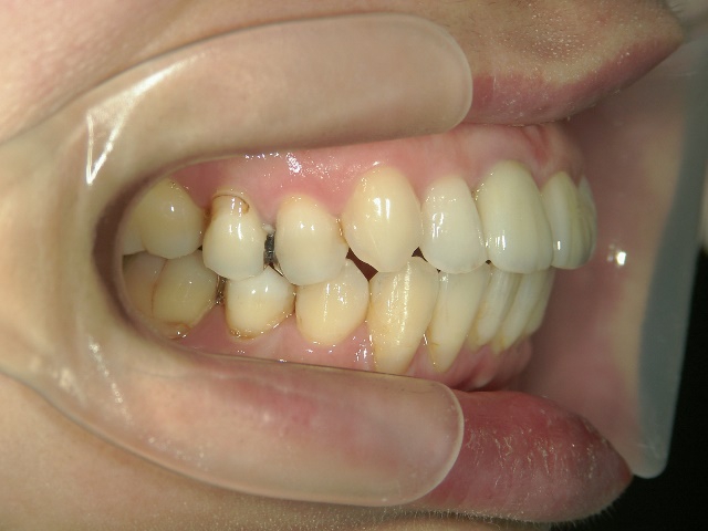
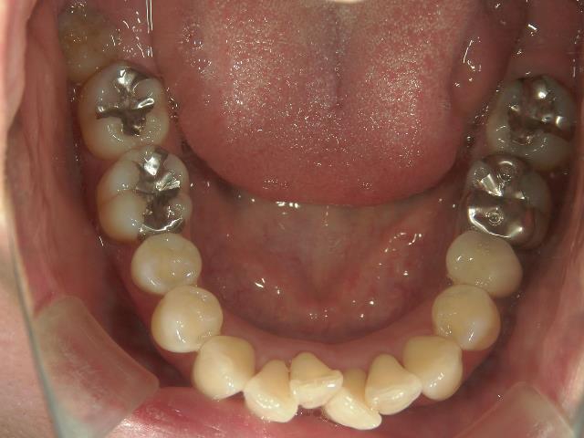
矯正歯科 治療後 
no.19_8860_治療後_右.jpgno.19_8860_治療後_正面.jpgno.19_8860_治療後_左.jpg

矯正_灰色.pngno.19_8860_治療後_下.jpg矯正_灰色.png