舌側矯正治療例4 | 浜松市 矯正審美歯科センター 見えない矯正 ワイヤー矯正 ブライダル矯正

矯正歯科 治療例

画像をクリックすると拡大表示します。

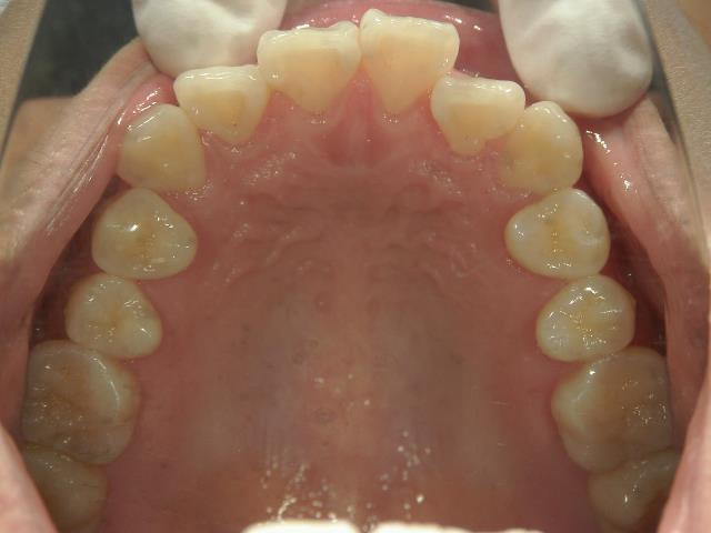
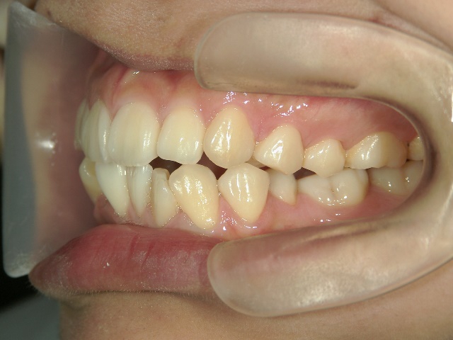
舌側プチワイヤー矯正/上顎のみ 症例(4)

22歳 女性 浜松市西区在住 治療期間 10年




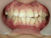
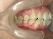
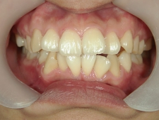
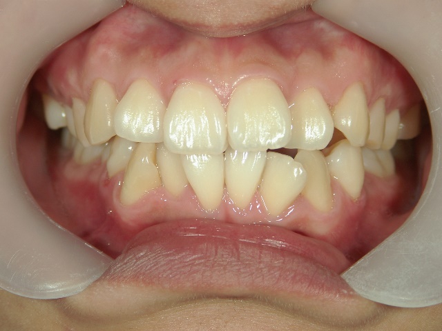
矯正歯科 治療前矯正歯科 治療前

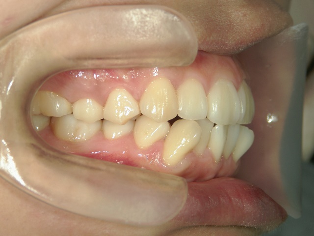
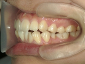
矯正歯科 治療後矯正歯科 プチワイヤー矯正 治療後矯正歯科(プチワイヤー矯正)治療後

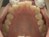
矯正歯科 治療前

矯正歯科 治療前 上顎

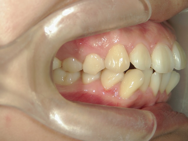
矯正歯科 治療前 右

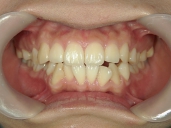
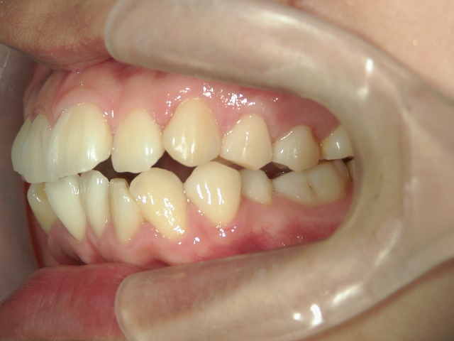
矯正歯科 治療前 正面

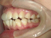
矯正歯科 治療前 左

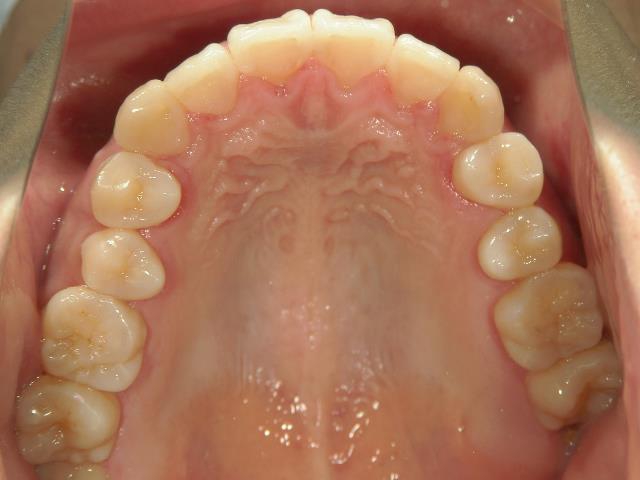
矯正歯科 治療後

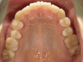
矯正歯科 治療後 上顎



矯正歯科 治療後 右

矯正歯科 治療後 正面

矯正歯科 治療後 左