舌側矯正治療例3 | 浜松市 矯正審美歯科センター 見えない矯正 ワイヤー矯正 ブライダル矯正

矯正歯科 治療例

画像をクリックすると拡大表示します。

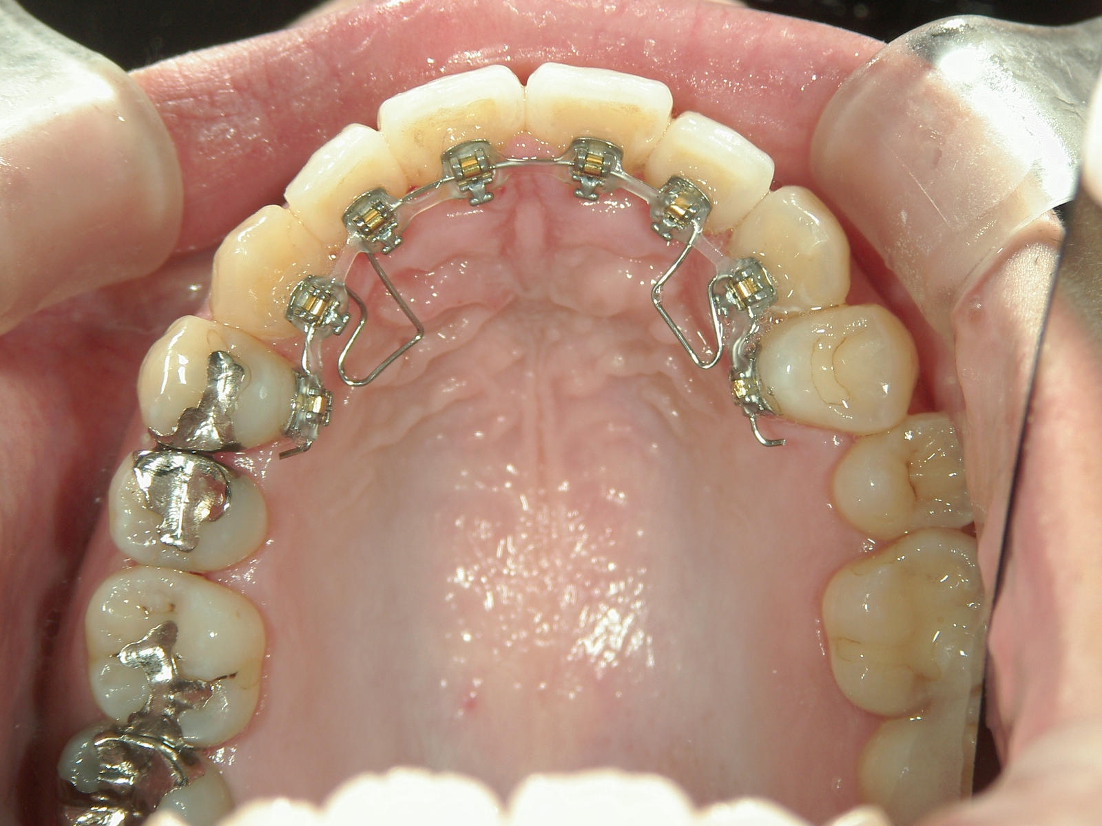
舌側プチワイヤー矯正/上顎のみ 症例(3)

23歳 女性 浜松市西区在住 治療期間 8年



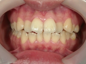
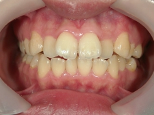
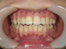
矯正歯科 治療前矯正歯科 治療前

矯正歯科 治療後矯正歯科 プチワイヤー矯正 治療後矯正歯科(プチワイヤー矯正)治療後

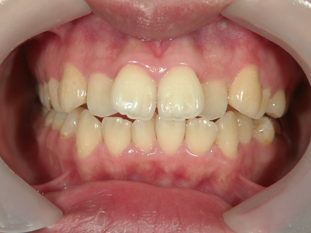
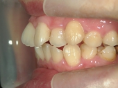
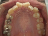
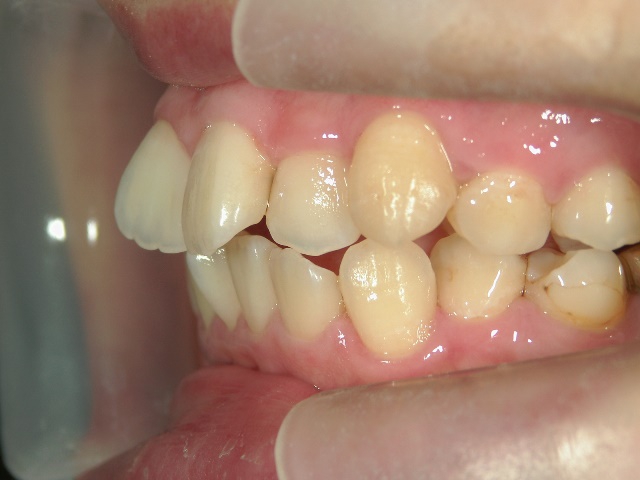
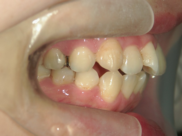
矯正歯科 治療前

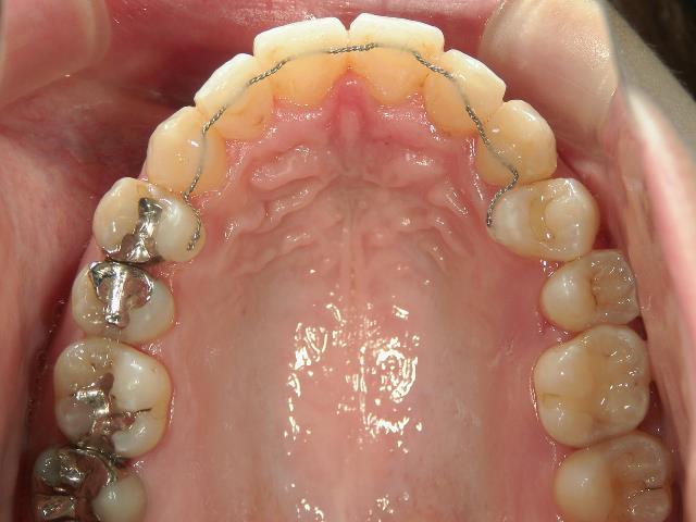
矯正歯科 治療前 上顎

矯正歯科 治療前 右

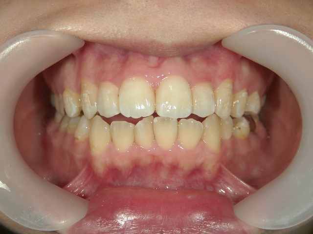
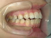
矯正歯科 治療前 正面

矯正歯科 治療前 左

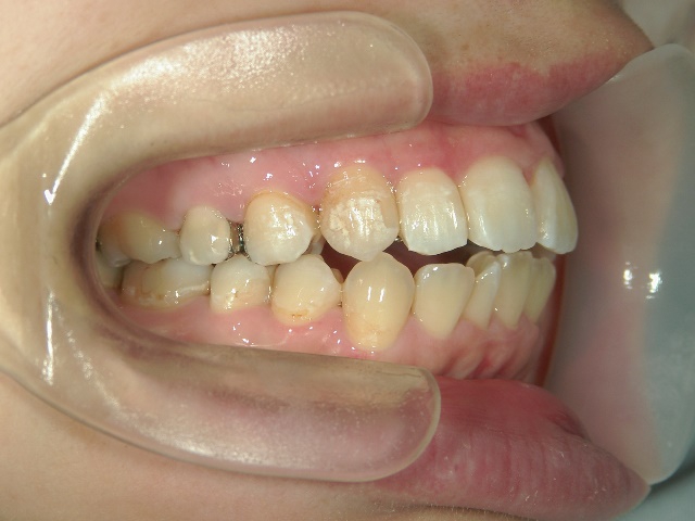
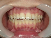
矯正歯科 治療後

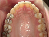
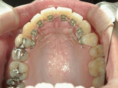
矯正歯科 治療後 上顎

矯正歯科 治療後 左

矯正歯科 治療後 右

矯正歯科 治療後 正面

矯正歯科 治療後 左