矯正治療法のご紹介
歯並びは十人十色。適した矯正方法もかわってきます。
当院では患者様それぞれの症例に併せて、最適な治療法をご提案し、歯列矯正を行います。
矯正治療法の一部を治療経過とともにご紹介します。
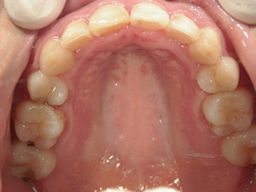
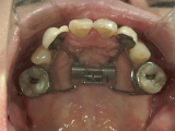
● 臼歯部の後方移動
臼歯を後方に牽引し、移動させることでスペースを確保し歯列を整えます。

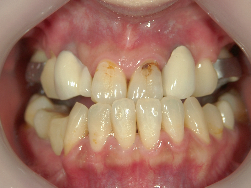
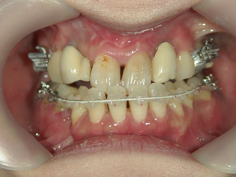
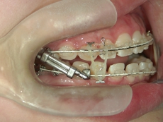
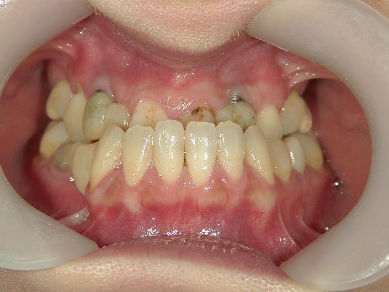
抜歯矯正をした経験があり、新たに抜歯
できる歯がないため、臼歯を後方へ牽引
してスペースを確保します。

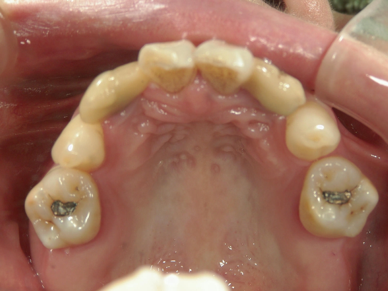
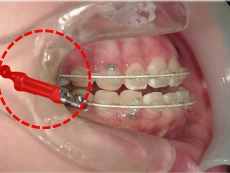
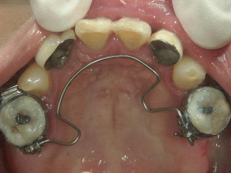
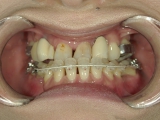
臼歯にリンガルアーチという装置を装着し、ミニインプラントを固定源に臼歯を後方に牽引します。

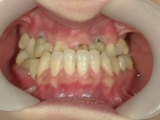
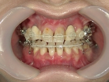
前突が改善し、きれいな歯並びになりました。

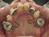
臼歯が後方に下がり、臼歯と小臼歯の間にスペースができました。唇側にワイヤ-をSETし、前歯の歯並びの改善を併行して行います。
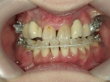
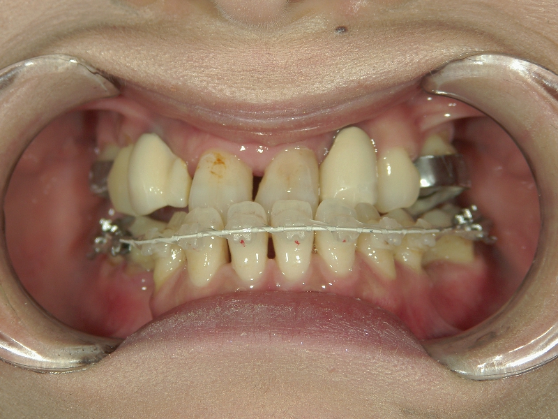
● ツインフォース
下顎が後退している方に用いられる装置です。後ろにずれている下顎を前方(本来の位置)に移動させ、噛み合わせを整えます。

上顎に比べ、下顎が著しく後退しています。

上の歯と下の歯を斜めに繋ぐようにツインフォースという装置を装着します。装置の力で、顎が前方へ押し出されてきました。

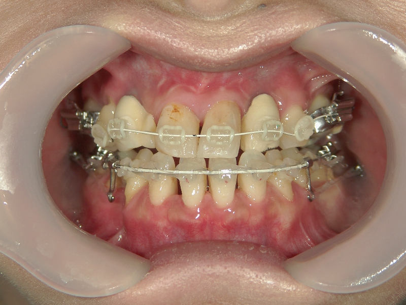
顎の移動が終了しました。装置を外して、今後はワイヤーを使用して歯列を治します。

矯正治療後の後戻りを想定して、あえて必要量を越えた顎の移動を行います。
● 上顎骨の拡大
上顎(口蓋の部分)の骨に、外科手術で切れ目を入れて左右のあごのつなぎ目を切り離すことで、上顎の拡大が難しい成人の方もスムーズに広げることが可能です。





