
矯正装置の種類
※画像をクリックして頂くと、治療前・治療後が確認できます。
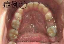
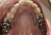
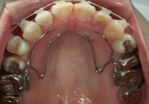
クワドヘリックス(QH)
上顎骨の横幅を広げる効果があり、上顎の幅が狭い時や、歯の生えるスペースが足りない時に使用します。症例2の場合、内側に入っていた左上2番が、装置に押し出されて正常な位置に移動しました。
|
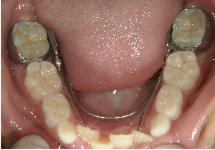
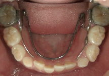
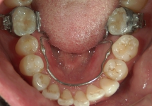
バイヘリックス(BH)
QHと同じく顎の骨幅を広げる効果があり、歯列の幅が広がります。ヘリカルループというワイヤーのくるくるが2つのため、QHよりも力は弱いですが、舌がある下顎には、かさばらないBHを使用します。
|
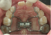
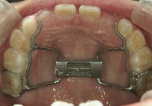
急速拡大装置(きゅうそくかくだいそうち)
2週間かけて、上顎の骨のつなぎ目を急速に広げる装置です。1日2回、中央についている拡大調節ネジを調整することで、強い力で歯列を押し広げます。永久歯に生えそろってから、あまり時間のたっていない20歳くらいまで効果がみられます。
|
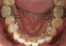
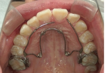
リンガルアーチ
主に奥歯の6番目の傾斜を立てなおしたり、ねじれた歯をもとに戻す際に使用する装置です。この症例の場合、舌側へ傾斜していた大臼歯が、装置の力で正常な位置まで起き上がりました。
|
保隙装置(ほげきそうち)
ぶつけて歯を失ったり、虫歯で抜歯になったりして、乳歯(特にD、E)を早期に失ってしまった場合に、後から生えてくる永久歯が正常な位置に生えてくるよう歯の隙間を保つ装置です。※この装置は保険が適応されます。
|








