
矯正治療とは
スペースがなく乱れた歯や悪い噛み合わせは、遺伝的な要因、生活習慣などが関係しています。
歯列矯正は、乱れた歯を装置の力で徐々に動かし、本来の正常な歯並びにする治療法です。一般的に歯にブラケットという装置をつけ、そこにワイヤーを通して少しづつ矯正するワイヤー矯正が主流です。
患者様の歯並びによって、適した治療法をご提案します。
● 不正咬合の種類
叢生(そうせい)
歯の生えるスペースが足りなかったり歯が大きいために、でこぼこに生えたり、重なって生えている状態です。乱杭歯(らんぐいば)ともいいます。犬歯が飛び出た状態の八重歯(やえば)も叢生の一種です。
|
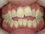
上顎前突(じょうがくぜんとつ)
上の前歯が前へ突き出している状態のことで、いわゆる出っ歯と呼ばれています。前歯の突出によって唇が閉じにくいため口腔内が乾燥しやすく、歯周病や虫歯を誘発しやすくなります。
|
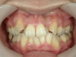
下顎前突(かがくぜんとつ)
噛み合わせたときに下の前歯が上の前歯よりも前方に突出している状態です。受け口、しゃくれ、反対咬合ともいいます。見た目上の特徴としては、下唇が上唇よりも明らかに前にでています。
|
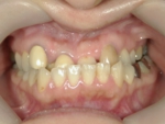
開咬(かいこう)
奥歯を噛み合わせても、上下の前歯が噛み合わず開いた状態です。食べ物を前歯で噛みきれず、息がもれるため正しい発音もできません。オープンバイトともいいます。
|
![]() |
過蓋咬合(かがいこうごう)
上下の歯の重なりが深く、下の前歯があまりみえない状態をいいます。深く噛みこんだ歯が歯肉を傷つけたり、下の前歯が上の前歯を突き上げるので、歯が摩耗してしまいます。
|
|---|
![]() |
空隙歯列(くうげきしれつ)
顎の大きさにくらべ、歯が小さかったり本数が少なかったために、隙間ができてしまう歯並びをいいます。前歯の間に隙間がある場合は正中離開(せいちゅうりかい)、全体に隙間がある場合は空隙歯列といいます。一般的には、すきっ歯と呼ばれています。
|
|---|
![]()
ワイヤー矯正

歯の表面に2~5㎜程度のブラケットという装置をつけて、そこにワイヤーを通すことで歯の位置を移動させる治療です。全顎(奥歯から奥歯まですべての歯)に装置を装着し、すべての不正咬合から噛み合わせまで改善することができます。全体の歯を移動させる為、治療期間は1年半~3年かかります。
![]()
プチワイヤー矯正

治療法はワイヤー矯正と基本的に同じですが、プチワイヤー矯正は動かす歯を前歯のみに限定し、小臼歯から小臼歯までの計8本に装置を装着し前歯のみを矯正します。歯の移動距離が少なくすむため、治療期間は約6ヶ月~1年程と短期間です。スペースがなく抜歯を必要とする症例には適しません。
![]()
舌側矯正

ブラケットやワイヤーなど、矯正装置をすべて歯の裏側(舌側)につけ、矯正装置が全く人目に触れないようにする方法です。費用は通常の矯正よりも割高ですが、動かす歯を前歯のみに限定するプチワイヤー舌側矯正を選択することによりお手頃な価格で治療することも可能です。裏側からの治療は、上顎前突、開咬の方に特に効果的です。装置が裏側につくため、はじめは一時的に滑舌が悪くなりやすいです。







