舌側矯正治療例2 | 浜松市 矯正審美歯科センター 見えない矯正 ワイヤー矯正 ブライダル矯正

矯正歯科 治療例

画像をクリックすると拡大表示します。

舌側プチワイヤー矯正/上顎のみ 症例(2)

13歳 女性 袋井市在住 治療期間 1年

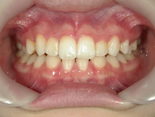
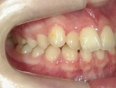
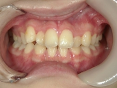
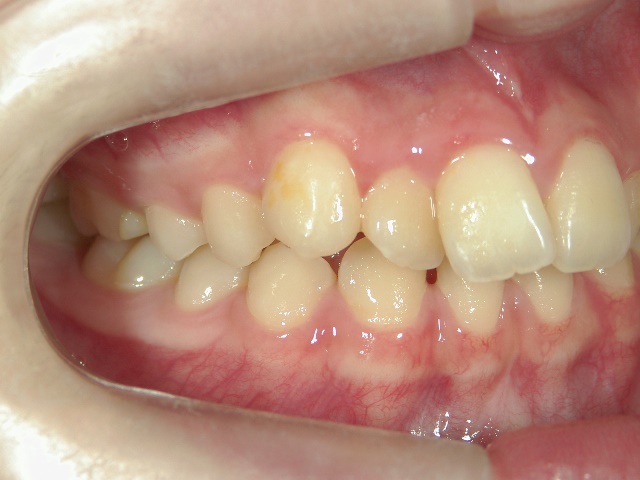
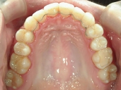
矯正歯科 治療前矯正歯科 治療前

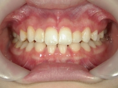
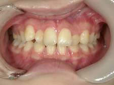
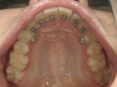
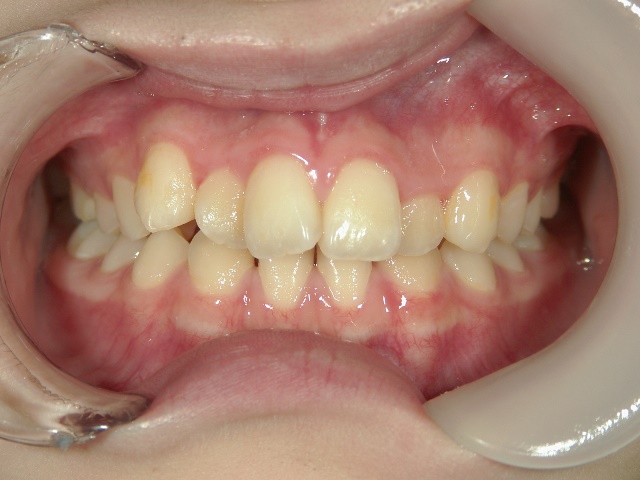
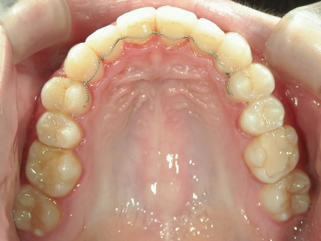
矯正歯科 治療後矯正歯科 プチワイヤー矯正 治療後矯正歯科(プチワイヤー矯正)治療後

矯正歯科 治療前

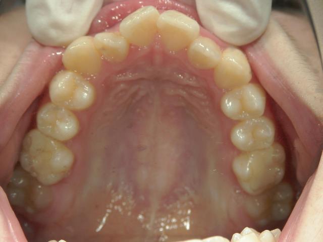
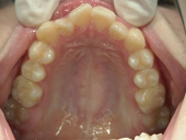
矯正歯科 治療前 上顎

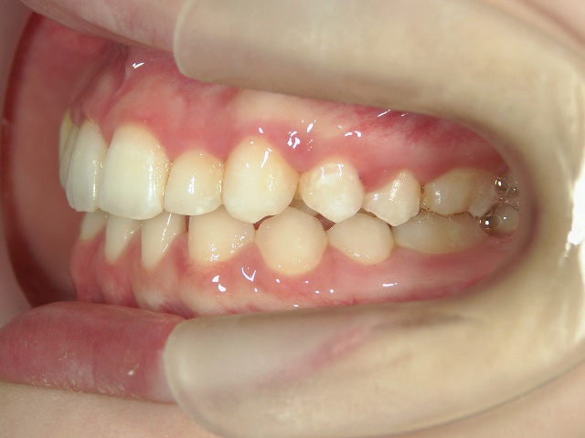
矯正歯科 治療前 右

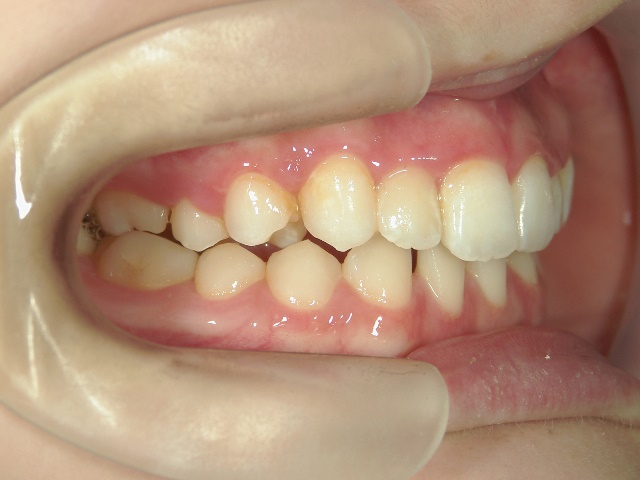
矯正歯科 治療前 正面

矯正歯科 治療前 左

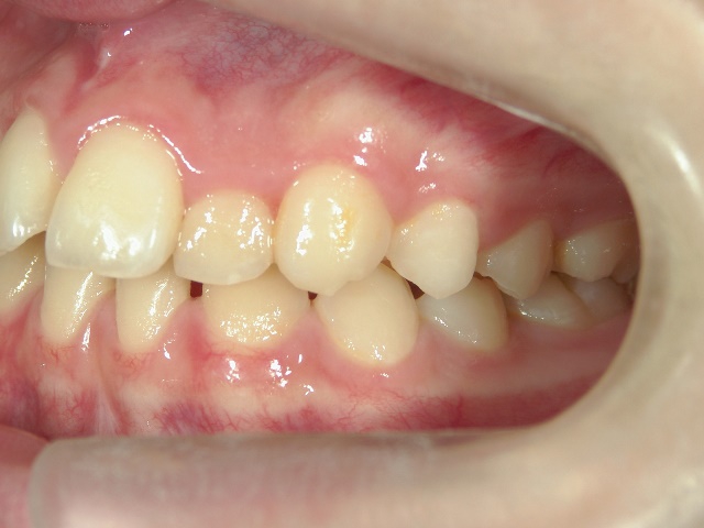
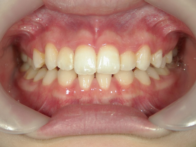
矯正歯科 治療後

矯正歯科 治療後 上顎

矯正歯科 治療後 左

矯正歯科 治療後 右

矯正歯科 治療後 正面

矯正歯科 治療後 左