矯正歯科 治療例
矯正治療を行うと、気になる歯列の凸凹やすき間等を改善し、見た目の美しさはもちろん、虫歯や歯周病になりにくい健康な歯並びを作り、頭痛・肩こりなどの改善にも効果的です。
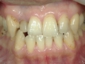
※写真は矯正治療前のものです。矯正治療によってどのように改善されたか、詳しくは各ページをご覧ください。
全顎ワイヤー矯正
歯並びとともに咬み合わせを正常にする治療です。すべての歯にブラケットという器具をつけ、そこにワイヤーを通し、少しずつ歯並びを改善する一般的な治療法です。
プチワイヤー矯正
小臼歯から小臼歯まで計8本に装置をとりつけ、前歯のみを矯正する治療法です。
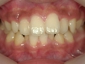
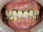
矯正歯科 症例(1) 17歳女性・浜松市東区在住。上顎のみ
| |
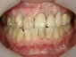
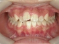
矯正歯科 症例(2) 30歳女性・浜松市東区在住。上顎のみ
| |
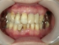
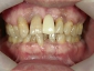
矯正歯科 症例(3) 29歳女性・浜松市中区在住。上顎のみ
| |
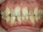
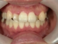
矯正歯科 症例(4) 27歳女性・浜松市中区在住。上顎のみ
| |
矯正歯科 症例(5) 42歳男性・浜松市中区在住。下顎のみ
| |
矯正歯科 症例(6) 63歳女性・浜松市浜北区在住。下顎のみ
| |
矯正歯科 症例(7) 33歳男性・磐田市在住。下顎のみ
| |
矯正歯科 症例(8) 57歳女性・浜松市中区在住。上顎のみ
| |
矯正歯科 症例(9) 60歳女性・浜松市浜北区在住。下顎のみ
| |
矯正歯科 症例(10) 44歳女性・浜松市中区在住。下顎のみ
| |
矯正歯科 症例(11) 19歳女性・浜松市中区在住。上顎のみ
| |
矯正歯科 症例(12) 64歳 女性 浜松市中区在住。
| |
矯正歯科 症例(13) 61歳女性・新城市在住。下顎のみ
| |
矯正歯科 症例(14) 44歳女性・浜松市中区在住。上顎のみ
| |
矯正歯科 症例(15) 58歳女性・浜松市浜北区在住。下顎のみ
|
矯正歯科 症例(16) 16歳女性・浜松市中区在住。上下顎
| |
矯正歯科 症例(17) 21歳女性・浜松市北区在住。上下顎
| |
矯正歯科 症例(18) 17歳男性・浜松市中区在住。下顎のみ
| |
矯正歯科 症例(19) 17歳女性・浜松市中区在住。上下顎
| |
矯正歯科 症例(20) 56歳女性・浜松市中区在住。下顎
| |
矯正歯科 症例(21) 46歳男性・浜松市西区在住。上下顎
| |
矯正歯科 症例(22) 16歳女性・浜松市中区在住。上下顎
| |
矯正歯科 症例(23) 50歳女性・浜松市浜北区在住。下顎
| |
矯正歯科 症例(24) 31歳女性・磐田市在住。下顎のみ
| |
矯正歯科 症例(25) 36歳女性・浜松市中区在住。上下顎
| |
矯正歯科 症例(26) 18歳男性・浜松市北区在住。上顎のみ
| |
矯正歯科 症例(27) 40歳女性・浜松市東区在住。上顎のみ
| |
矯正歯科 症例(28) 37歳女性・浜松市西区在住。上顎のみ
| |
矯正歯科 症例(29) 44歳女性・浜松市中区在住。下顎のみ
|
アクアシステム(透明マウスピース矯正)
透明のプラスチック製のマウスピースを使用し、少しずつ歯並びを治していく治療法です。透明で目立ちにくく、取り外しが可能です。1日20時間以上装着します。
28歳女性・浜松市中区在住。上顎アクアシステム(マウスピース)矯正
| |
19歳男性・浜松市中区在住。上顎アクアシステム(マウスピース)矯正
| |
34歳男性・浜松市北区在住。上顎アクアシステム(マウスピース)矯正
| |
39歳女性・浜松市中区在住。上顎アクアシステム(マウスピース)矯正
| |
26歳女性・浜松市北区在住。全顎アクアシステム(マウスピース)矯正
| |
24歳女性・浜松市東区在住。全顎アクアシステム(マウスピース)矯正
| |
31歳女性・磐田市在住。上顎アクアシステム(マウスピース)矯正
| |
43歳女性・浜松市中区在住。全顎アクアシステム(マウスピース)矯正
| |
23歳男性・浜松市北区在住。上顎アクアシステム(マウスピース)矯正
|
61歳男性・浜松市中区在住。下顎アクアシステム(マウスピース)矯正
| |
32歳女性・浜松市在住。上顎アクアシステム(マウスピース矯正)→プチワイヤー矯正
| |
31歳男性・浜松市東区在住。全顎アクアシステム(マウスピース)矯正
| |
22歳女性・浜松市在住。上顎アクアシステム(マウスピース矯正)
| |
25歳女性・磐田市在住。上顎アクアシステム(マウスピース矯正)
| |
65歳女性・浜松市中区在住。上顎アクアシステム(マウスピース)矯正
| |
38歳男性・浜松市西区在住。上顎アクアシステム(マウスピース)矯正
| |
31歳女性・磐田市在住。上顎アクアシステム(マウスピース)矯正
| |
26歳男性・掛川市在住。上顎アクアシステム(マウスピース)矯正
|
舌側ワイヤー矯正
矯正装置をすべて歯の裏側(舌側)につけ、装置が全く人目に触れないで治療する方法です。上顎前突や開咬の方に特に効果的です。
35歳男性・浜松市中区在住。上顎舌側プチワイヤー矯正
| |
14歳女性・袋井市在住。アクアシステム→上顎舌側プチワイヤー矯正
|
23歳女性・浜松市西区在住。上顎舌側プチワイヤー矯正
| |
22歳女性・浜松市西区在住。上顎舌側プチワイヤー矯正
|






































































